zotyÖÐÅ·ÌåÓý

English zotyÖÐÅ·ÌåÓý¼¯ÍÅÆóÒµÓÊÏä

Èý¡¢Æ¤·ôÆ÷¹ÙԭλÔÙÉú»Ø¸´»úÀí

×÷ÕߣºÐìÈÙÏé ³öÊéÉ磺Öйú¿ÆÑ§ÊÖÒÕ³öÊéÉç ¿¯ÐÐÈÕÆÚ£º2009Äê7ÔÂ
     [Ñݽ²¸å]ÔÚÈËÌå¸÷Æ÷¹ÙÖУ¬ £¬£¬£¬£¬£¬£¬£¬ÎÞÂÛÊǴӼܹ¹Õվɹ¦Ð§½²£¬ £¬£¬£¬£¬£¬£¬£¬Æ¤·ôºÍ賦¶¼ÊÇ×îÖ±¹ÛµÄÁ½´óÆ÷¹Ù£¬ £¬£¬£¬£¬£¬£¬£¬Í¬Ê±£¬ £¬£¬£¬£¬£¬£¬£¬Ò²ÊDZ £»£»£»£»£»£»£»£»¤ºÍ°ü¹Ü»úÌåÓªÑøÎïÖÊÎüÊÕµÄÁ½´óÆ÷¹Ù£¬ £¬£¬£¬£¬£¬£¬£¬ËüÃǹØÓÚÕû¸ö»úÌåÉúÃüÊDZØÐèµÄ£¬ £¬£¬£¬£¬£¬£¬£¬Ã»ÓÐÆ¤·ôºÍ賦¾ÍûÓÐÉúÃü ¡£¡£¡£¡£¡£Òò´Ë£¬ £¬£¬£¬£¬£¬£¬£¬¶ÔÈ«ÉíÆ÷¹ÙµÄÔÙÉú»Ø¸´£¬ £¬£¬£¬£¬£¬£¬£¬Ê×ÏÈÒª´ÓƤ·ôºÍ賦ÈëÊÖ ¡£¡£¡£¡£¡£±¾ÕÂÕë¶Ô¡°Æ¤·ôÆ÷¹ÙԭλÔÙÉú»Ø¸´¡±¾ÙÐÐÏêϸµÄÐðÊö ¡£¡£¡£¡£¡£
     Ƥ·ôÆ÷¹ÙÔÙÉú»Ø¸´ÊÖÒÕÊÇÕæÕýÒâÒåÉÏʵÏÖÆ¤·ôÆ÷¹ÙԭλÔÙÉú»Ø¸´£¬ £¬£¬£¬£¬£¬£¬£¬ÕâÊÇÈËÀàµÄÃÎÏ룬 £¬£¬£¬£¬£¬£¬£¬¸üÊÇÉúÃü¿ÆÑ§×îÇ°ÑØÒÑÀÖ³ÉʵÏÖµÄÈËÌåÔÙÉú¿ÆÑ§³É¼¨Ö®Ò» ¡£¡£¡£¡£¡£Æ¤·ôÔÙÉúºÍÉíÌåÄÚÆäËûÆ÷¹ÙԭλÔÙÉúÒ»Ñù£¬ £¬£¬£¬£¬£¬£¬£¬ÊÇʹÓÃÈËÌå×éÖ¯µÄDZÄÜÔÙÉúϸ°û£¨Æ¤·ô¾ßÓÐÔÙÉúDZÄܵÄϸ°ûºÍ½ÇÂѰ×19Ð͸Éϸ°û£©Ô­Î»ÔÙÉúΪ×éÖ¯Æ÷¹ÙÀ´ÊµÏֵģ¬ £¬£¬£¬£¬£¬£¬£¬Í¬Ê±ÊµÏÖËùÓÐÆ¤·ôÆ÷¹ÙµÄÆÊ½â½á¹¹ºÍÐÄÀí¹¦Ð§µÄÄêÇữ£¬ £¬£¬£¬£¬£¬£¬£¬²¢Í¨¹ýÌá¸ßƤ·ôÆ÷¹ÙÉúÃüÔÙÉúÑÄÁ¦·¢ÄîÍ·Ìå¸÷Æ÷¹ÙÉúÃü»îÁ¦µÄÌá¸ß£¬ £¬£¬£¬£¬£¬£¬£¬Ö®ÒÔÊÇÄܹ»±»³ÆÖ®Îª¡°Æ¤·ôÆ÷¹ÙԭλÔÙÉú»Ø¸´ÊÖÒÕ¡±£¬ £¬£¬£¬£¬£¬£¬£¬¼´ÊÇ´ÓÈËÌåÆ÷¹ÙÔÙÉú¿ÆÑ§³É¼¨µÄ½Ç¶ÈÈëÊÖ£¬ £¬£¬£¬£¬£¬£¬£¬Ê¹ÓÃÆ÷¹ÙԭλÔÙÉúDZÄÜ£¬ £¬£¬£¬£¬£¬£¬£¬»Ø¸´Æ¤·ôÆ÷¹ÙÖÐÖÖÖÖϸ°ûºÍ×éÖ¯£¬ £¬£¬£¬£¬£¬£¬£¬Ê¹ÆäÔÙÉú»Ö»Ø¸´ÓеĽṹºÍ¹¦Ð§£¬ £¬£¬£¬£¬£¬£¬£¬ÊµÏÖÑÓ»ººÍÖÐֹƤ·ôÐàÂõ£¬ £¬£¬£¬£¬£¬£¬£¬ÊµÏÖÆ¤·ôÆ÷¹ÙÉúÃüÊÙÃüµÄÔÙÉú½ÓÁ¦£¬ £¬£¬£¬£¬£¬£¬£¬ÔÙÉú»Ø¸´Õû¸öƤ·ôÆ÷¹ÙÒѾ­Ê§È¥µÄÇà´º»îÁ¦ ¡£¡£¡£¡£¡£
     ÏêϸµÄƤ·ôÆ÷¹ÙԭλÔÙÉú»Ø¸´ÊÖÒÕ»úÀí£¬ £¬£¬£¬£¬£¬£¬£¬³ýÈËÌåÆ÷¹ÙÔÙÉúµÄÅäºÏDZÄÜÔÙÉúϸ°ûԭλÔÙÉú»Ø¸´µÄϸ°ûѧ»úÀíÍ⣬ £¬£¬£¬£¬£¬£¬£¬ÎÒÔÚÕâÀï×ÅÖØÓÚ´ÓÆ¤·ô×é֯ѧ½²Æð ¡£¡£¡£¡£¡£Æ¤·ôµÄ×é³ÉºÍÈËÌåÆäËûÆ÷¹ÙµÄ×é³ÉÊÇÒ»ÑùµÄ£¬ £¬£¬£¬£¬£¬£¬£¬¶¼ÊÇÓÉÉÏÆ¤×éÖ¯¡¢½áµÞ×éÖ¯¡¢Éñ¾­×éÖ¯¡¢¼¡Èâ×éÖ¯×é³É ¡£¡£¡£¡£¡£´Ó×é֯ѧµÄ½Ç¶È½²£¬ £¬£¬£¬£¬£¬£¬£¬ÈËÌåÆ÷¹ÙµÄÔÙÉú±ØÐ轫ÕâËÄ´ó×éÖ¯ËùÓÐÔÙÉú£¬ £¬£¬£¬£¬£¬£¬£¬²Å»ªÊµÏÖÈËÌåÆ÷¹ÙµÄÔÙÉú£¬ £¬£¬£¬£¬£¬£¬£¬ÈôÊÇʵÏÖ²»ÁËËÄ´ó×éÖ¯µÄͬʱÔÙÉú£¬ £¬£¬£¬£¬£¬£¬£¬¾ÍûÓв½·¥ÕæÕýʵÏÖÆ÷¹ÙµÄÔÙÉú ¡£¡£¡£¡£¡£
     ¡¾×é֯ѧ¼°ÔÙÉúҽѧ»ù´¡ÀíÂÛ¡¿

      ÔÚÕâÀ £¬£¬£¬£¬£¬£¬£¬ÓÃÈËÃÇÒÔΪ²»¿ÉÄܵĶÏָԭλÔÙÉú»Ø¸´ÊµÀý×öÒ»¸öÒýÉ꣨***µÄÀý×Ó£¬ £¬£¬£¬£¬£¬£¬£¬Ä´Ö¸Ð¡½ÚÀë¶Ï£¬ £¬£¬£¬£¬£¬£¬£¬Àë¶ÏºóÁ¬Ã¦ÔÚÒ½Ôº½«ÒѾ­¶ÏµôµÄ²¿·ÖÓëÄ´Ö¸¾ÙÐзìºÏÅþÁ¬£¬ £¬£¬£¬£¬£¬£¬£¬µ«·ìºÏºó¶ÏµôµÄÖ¸Ì岢ûÓгɻ £¬£¬£¬£¬£¬£¬£¬´Ëºó£¬ £¬£¬£¬£¬£¬£¬£¬ÎÒÃDz»µÃ²»±ØÔÙÉúµÄÒªÁ죬 £¬£¬£¬£¬£¬£¬£¬¶ÔÒѾ­»µËÀµÄ¶Ïָԭλ¾ÙÐÐÔÙÉú£¬ £¬£¬£¬£¬£¬£¬£¬Ò»¸ö¶àÔµÄʱÖÐÖ¹Ö¸ÔÙÉúÍê³É£¬ £¬£¬£¬£¬£¬£¬£¬¼û¶ÏÖ¸ÔÙÉúµÄͼƬ£©£¬ £¬£¬£¬£¬£¬£¬£¬ÎÒÃǶ¼ÖªµÀ£¬ £¬£¬£¬£¬£¬£¬£¬¶ÏÖ¸ÔÙÉúÖÁ½ñÈÔ±»¿ÆÑ§½ç³ÆÎªÒ»ÖÖÃÎÏ룬 £¬£¬£¬£¬£¬£¬£¬ÓÉÓÚ¿ÆÑ§¼ÒÃǶ¼ºÜÇåÎúʵÏÖ¶ÏÖ¸ÔÙÉú¾ßÓÐÏ൱´óµÄÉúÃü¿ÆÑ§»ù´¡ÄѶȣ¬ £¬£¬£¬£¬£¬£¬£¬ËüÉæ¼°ÈËÌåËÄ´ó×éÖ¯¡¢60¶àÖÖ×éÖ¯Æ÷¹ÙµÄÔÙÉúºÍ»Ø¸´£¬ £¬£¬£¬£¬£¬£¬£¬Ã»ÓÐÆ÷¹ÙԭλÔÙÍâÐÐÒÕÖ§³Ö£¬ £¬£¬£¬£¬£¬£¬£¬ÓÀÔ¶¶¼ÎÞ·¨ÊµÏÖ ¡£¡£¡£¡£¡£2008Äê¿ÆÑ§ÔÓÖ¾»¹×éÖ¯250ÓàÃûר¼Ò¾ÙÐÐδÀ´ÉúÃü¿ÆÑ§Í»ÆÆµÄÑо¿Õ¹Íû£¬ £¬£¬£¬£¬£¬£¬£¬ÆäÖÐÖ¹Ö¸ÔÙÉúΪδÀ´ÓпÉÄÜʵÏÖµÄÉúÃü¿ÆÑ§Í»ÆÆ ¡£¡£¡£¡£¡£¶ÏÖ¸ÊÇÉæ¼°Ö¸¹Ç¡¢¼¡Èâ¡¢Éñ¾­¡¢¼×´²¡¢Æ¤·ôµÈµÄÀë¶Ï ¡£¡£¡£¡£¡£ÊµÏÖ¶ÏÖ¸ÔÙÉú£¬ £¬£¬£¬£¬£¬£¬£¬¿É²»ÊÇ¿´ËƼòÆÓµÄÐÄÀíÐÔÐÞ¸´£¬ £¬£¬£¬£¬£¬£¬£¬¶øÊDZØÐèÒª½ÓÄÉԭλÔÙÉú»Ø¸´ÊÖÒÕÔÙÉú»Ø¸´¶ÏÖ¹ØÁ¬Ä60¶àÖÖ×éÖ¯Æ÷¹Ù ¡£¡£¡£¡£¡£ÔÚÏÖÔÚÉúÃü¿ÆÑ§ºÍҽѧµÄÀíÂÛÉÏÊDz»¿ÉÄܵÄÊ£¬ £¬£¬£¬£¬£¬£¬£¬¿ÉÊÇ£¬ £¬£¬£¬£¬£¬£¬£¬ÎÒÃÇʵÏÖ¶ÏָԭλÔÙÉúµÄÊÖÒÕÒѾ­ÊÇ20ÄêǰµÄÁÙ´²Í¨ÀýÊÖÒÕÁË ¡£¡£¡£¡£¡£
     zotyÖÐÅ·ÌåÓý¶ÏÖ¸ÔÙÍâÐÐÒÕÊÇÖ¸¶ÏÖ¸´´ÃæÔÚÔÙÉúÓªÑøÎïÖʵÄ×÷ÓÃÏ£¬ £¬£¬£¬£¬£¬£¬£¬Í¬Ê±ÔÚÈËÌåµÄͳһµ÷¿ØÏ£¬ £¬£¬£¬£¬£¬£¬£¬ËÄ´ó×é֯ͬ²½ÔÙÉúÉú³¤£¬ £¬£¬£¬£¬£¬£¬£¬°üÀ¨Æ¤·ô¡¢¼¡Èâ¡¢¹Ç÷À¡¢¸½¼þµÈ£¬ £¬£¬£¬£¬£¬£¬£¬²¢ÇÒÆ½ÐÐÏòÉÏÒÆÐУ¬ £¬£¬£¬£¬£¬£¬£¬ÕâÑùԼĪ50Ìì¶ÏÖ¸¾Í¿ÉÒÔÍêÈ«»Ø¸´ÁË£¬ £¬£¬£¬£¬£¬£¬£¬²¢Çһظ´ºóµÄ×éÖ¯Æ÷¹ÙÓëÔ­ÓÐÆ÷¹ÙÍêȫһÑù£¬ £¬£¬£¬£¬£¬£¬£¬Ã»Óнӿںͺۼ££¬ £¬£¬£¬£¬£¬£¬£¬Æä¹¦Ð§Ò²ºÍÔ­À´Î´¶Ïָʱ100%Ò»Ñù ¡£¡£¡£¡£¡£ÏÖÔÚ£¬ £¬£¬£¬£¬£¬£¬£¬ÓеÄÒ½Ôº½ö¶ÏÖ¸ÔÙÉú¾Í¿ÉÖÎÓúÉÏǧÀý£¬ £¬£¬£¬£¬£¬£¬£¬Ïñ¶«Ý¸¶«»ªÒ½Ôº¾­Í³¼ÆÒѾ­ÖÎÓú¶ÏÖ¸»¼Õß2769Àý£¬ £¬£¬£¬£¬£¬£¬£¬ÒÔÊÇÎÒÃÇ·¢Ã÷µÄÕâÏî±»µ±½ñ¿ÆÑ§½ç³ÆÖ®ÎªÌ췽ҹ̷µÄ¶ÏÖ¸ÔÙÍâÐÐÒÕ£¬ £¬£¬£¬£¬£¬£¬£¬ÔçÒѳÉΪһÏîͨÀýÊÖÒÕÔÚÎÒ¹úÁÙ´²Éϱ»ÆÕ±éÓ¦Óà ¡£¡£¡£¡£¡£
     Í¨¹ýÒÔÉ϶ÏÖ¸ÔÙÉúµÄʵ¼ù£¬ £¬£¬£¬£¬£¬£¬£¬²»ÐèÒªÔٶིʲô¾Í¿ÉÖªµÀ£¬ £¬£¬£¬£¬£¬£¬£¬¶ÏÖ¸ÔÙÉú¶¼Äܹ»ÊµÏÖ£¬ £¬£¬£¬£¬£¬£¬£¬Æ¤·ôÔÙÉúÔòÊǺܼòÆÓµÄÊÂÇéÁË£¬ £¬£¬£¬£¬£¬£¬£¬¸ü¿öÇÒÎÒÃÇÒѾ­ÔÙÉúÁË23¸ö¹ú¼ÒµÄ2000¶àÍòÉÕÉ˲¡ÈËµÄÆ¤·ô£¬ £¬£¬£¬£¬£¬£¬£¬ÈËµÄÆ¤·ôÔÙÉú»Ø¸´ÂíÉÏ»áÔÚÈκÎÈ˵ÄÉíÌåÉϱ¬·¢£¬ £¬£¬£¬£¬£¬£¬£¬ÈËÃǾͻáºÜ¿ìÀë±ðƤ·ôµÄÐàÂõ£¬ £¬£¬£¬£¬£¬£¬£¬³¤Ê±¼ä¼á³ÖƤ·ôÆ÷¹ÙµÄÄêÇá״̬£¬ £¬£¬£¬£¬£¬£¬£¬×ÝÈ»ÒѾ­ÐàÂõµÄƤ·ôÒ²²»±Øµ£ÐÄ£¬ £¬£¬£¬£¬£¬£¬£¬¿ÉÔÙÉú»Ø¸´»ØÓ¦ÓеÄÄêÇá״̬ÁË ¡£¡£¡£¡£¡£
     Æ¤·ôÆ÷¹ÙÖеÄÉÏÆ¤×éÖ¯°üÀ¨±íƤºÍÕæÆ¤ÔÚÄÚµÄÒ»Ð©ÌØÊ⸽¼þ£¬ £¬£¬£¬£¬£¬£¬£¬Ïñº¹ÏÙ¡¢Æ¤Ö¬ÏÙ¡¢Ñª¹ÜÄÚÆ¤µÈ£¬ £¬£¬£¬£¬£¬£¬£¬¶¼Êǹ¦Ð§ÐԵģ¬ £¬£¬£¬£¬£¬£¬£¬»ùµ×ĤÒÔÉÏµÄ±íÆ¤²¿·Ö¶¼ÊÇÉÏÆ¤×éÖ¯£¬ £¬£¬£¬£¬£¬£¬£¬ÓÉ»ùµ×ĤÑÓÉìµ½ÕæÆ¤ÄÚÀïµÄƤ·ô¸½¼þºÃ±Èº¹ÏÙ¡¢Æ¤Ö¬ÏÙÄܱ¬·¢Ðí¶àµÄÉøÍ¸¹¦Ð§£¬ £¬£¬£¬£¬£¬£¬£¬Òò´Ë£¬ £¬£¬£¬£¬£¬£¬£¬ÉÏÆ¤×éÖ¯ÔÚÆ¤·ôÆ÷¹ÙµÄ¹¦Ð§ÖÐʩչ×ÅÖ÷ÒªµÄ×÷Óà ¡£¡£¡£¡£¡£
     Æ¤·ôÆ÷¹ÙÖеĽáµÞ×éÖ¯°üÀ¨±íƤ»ùµ×Ĥ¡¢ÕæÆ¤×éÖ¯¡¢Æ¤ÏÂ×éÖ¯¡¢ÑªÒº ¡£¡£¡£¡£¡£Ö÷ÒªÆðµæ³ÄƤ·ô¸½¼þ¡¢Ö§³ÖƤ·ô±íƤ¡¢± £»£»£»£»£»£»£»£»¤»úÌåµÈ×÷Óà ¡£¡£¡£¡£¡£
     Æ¤·ôÆ÷¹ÙÖеÄÉñ¾­×éÖ¯Ö÷ÒªÊÇÉñ¾­ÏËάºÍÖÖÖÖÉñ¾­Ð¡Ì壬 £¬£¬£¬£¬£¬£¬£¬¾ßÓнÓÊܴ̼¤ºÍ´«µ¼Ð˷ܵĹ¦Ð§£¬ £¬£¬£¬£¬£¬£¬£¬ÊÇÆ¤·ô¼°Æ¤·ô¸½¼þÔ˶¯µÄ¹¦Ð§µ¥Î» ¡£¡£¡£¡£¡£
     Æ¤·ôÆ÷¹ÙÖеļ¡Èâ×éÖ¯Ö÷Òª°üÀ¨Ñª¹Üƽ»¬¼¡¡¢º¹Ã«Á¢Ã«¼¡ÒÔ¼°º¹ÏÙÖÜΧµÄ¼¡Ï¸°û£¬ £¬£¬£¬£¬£¬£¬£¬Õý³£Æ¤·ôÄڵļ¡Èâ×éÖ¯ÔÚÊܵ½´Ì¼¤ÐźÅʱ»á±¬·¢ÏìÓ¦µÄËõ¶Ì·´Ó¦£¬ £¬£¬£¬£¬£¬£¬£¬Ò²¿ÉËæÆ¤·ôÆ÷¹Ù×ÔÉíºÍ»úÌå×ÔÉíµÄÌåÒºµ÷Àí±¬·¢Ëõ¶Ì·´Ó¦ ¡£¡£¡£¡£¡£
     ÎÒÃÇÒªÏëʵÏÖÕý³£¡¢·ÇËðÉËÐÔÆ¤·ôµÄÔÙÉú»Ø¸´£¬ £¬£¬£¬£¬£¬£¬£¬±ØÐèÊ×ÏÈÆô¶¯ÉÏÊöÔ­ÓÐÆ¤·ôÖÐËÄ´ó×éÖ¯µÄԭλ×Ô¶¯ÔÙÉú¸üУ¬ £¬£¬£¬£¬£¬£¬£¬´ÓÊÖÒÕÄѶÈÉÏÀ´ËµÒª±ÈËðÉËÐÔÆ¤·ôÔÙ»Ö¸´ÒªÄÑ¿°¶à£¬ £¬£¬£¬£¬£¬£¬£¬ÓÉÓÚËðÉËÐÔµÄÆ¤·ô£¬ £¬£¬£¬£¬£¬£¬£¬¿ÉÒÔͨ¹ýÔÙÉúÈÃËüÖØÐÂÉú³¤£¬ £¬£¬£¬£¬£¬£¬£¬µ«ÐàÂõƤ·ôµÄϸ°û»¹ÔÚ£¬ £¬£¬£¬£¬£¬£¬£¬ÔõÑùÈÃËü¸üгÉÄêÇáµÄÊÇÒ»´óеÄÄÑÌâ ¡£¡£¡£¡£¡£¿ÉÊÇ£¬ £¬£¬£¬£¬£¬£¬£¬ÎÒÃÇÏÖÔÚÖÕÓÚÀÖ³ÉÁË£¬ £¬£¬£¬£¬£¬£¬£¬¿ÉÒÔÈ÷ÇËðÉËÐÔµÄÆ¤·ô¡¢Î¸³¦¡¢Î¸³¦Õ³Ä¤ËùÓÐʵÏÖԭλÔÙÉú¸üУ¬ £¬£¬£¬£¬£¬£¬£¬ÊÂʵ֤ʵ£¬ £¬£¬£¬£¬£¬£¬£¬½ÓÊÜÔÙÉú»Ø¸´ÔÙÍâÐÐÒÕµÄËùÓÐÈ˶¼»ñµÃÁËͬÑùµÄ¿ÉϲЧ¹û£¬ £¬£¬£¬£¬£¬£¬£¬Õ³Ä¤ÄÜÖØÐÂԭλÔÙÉú³öÀ´£¬ £¬£¬£¬£¬£¬£¬£¬Æ¤·ôÖð½¥ÖÕÖ¹ÐàÂõ²¢»Ö¸´ÄêÇáµÈµÈ ¡£¡£¡£¡£¡£ÓÉÓÚÆ¤·ô´¦ÔÚÍâÇéÐÎÖÐÊܵ½µÄ´Ì¼¤±È賦¸ü´ó£¬ £¬£¬£¬£¬£¬£¬£¬¼Ó֮Ƥ·ôÆ÷¹ÙµÄÐÄÀíÌØÊâÐÔ£¬ £¬£¬£¬£¬£¬£¬£¬²¢ÇÒÆ¤·ô½Ó´¥µÄÎïÖÊÓÉÓÚѪ¹ÜµÄ¹¦Ð§ÎÊÌ⣬ £¬£¬£¬£¬£¬£¬£¬Ò»Ð©¾ßÓа뿹ԭÐÔµÄÒòËØÏÕЩÎÞ·¨ÎüÊÕ£¬ £¬£¬£¬£¬£¬£¬£¬ÒÔÊÇÎÒÃÇ¶ÔÆ¤·ôÆ÷¹ÙµÄÔÙÉú½ÓÄÉÁËÍâÔ´ÐÔµ¼ÈëºÍÄÚÔ´ÐÔ¿Ú·þÏàÍŽáµÄÒªÁì ¡£¡£¡£¡£¡£ËäÈ»½öÍâÔ´ÐÔÔÙÉúÎïÖʾÍÄÜÆðµ½ºÜºÃµÄ×÷Ó㬠£¬£¬£¬£¬£¬£¬£¬µ«¼ÓÉÏÄÚÔ´ÐÔÔÙÉúÎïÖʾÍÄÜʹƤ·ôÆ÷¹Ùԭλ×ÔÎÒ¸üкÍ×ÔÎÒÔÙÉú»Ø¸´ÐàÂõµÄ×éÖ¯ ¡£¡£¡£¡£¡£
     ¡¾ÔÙÉúÎïÖÊÓë½áµÞ×éÖ¯µÄ¹ØÏµ¡¿
     ±¾½ÚÕë¶ÔƤ·ôÆ÷¹ÙºÍÆäÖеÄÉÏÆ¤×éÖ¯¡¢½áµÞ×éÖ¯µÈÕâЩ»ù´¡µÄ×é֯ѧ֪ʶ¾ÙÐÐÐðÊö ¡£¡£¡£¡£¡£¸÷È˶¼Ó¦ÊìϤ£¬ £¬£¬£¬£¬£¬£¬£¬±íƤÄÚ´Ó»ùµ×ĤÒÔÉϵͼÊÇÉÏÆ¤×éÖ¯£¬ £¬£¬£¬£¬£¬£¬£¬ÓÉ±íÆ¤»ùÄÚÇé°û²ãÑÓÉìµ½ÕæÆ¤ÄÚÀïµÄƤ·ô¸½¼þ£¬ £¬£¬£¬£¬£¬£¬£¬ºÃ±Èº¹ÏÙ¡¢Æ¤Ö¬ÏÙ£¬ £¬£¬£¬£¬£¬£¬£¬Ò²ÊÇÉÏÆ¤×éÖ¯,Äܱ¬·¢Ðí¶àµÄÉøÍ¸¹¦Ð§ ¡£¡£¡£¡£¡£ÕæÆ¤ÄÚÓнáµÞ×éÖ¯¼°Æ¤·ô¸½¼þ£¬ £¬£¬£¬£¬£¬£¬£¬½áµÞ×éÖ¯ÓжàÖÖ£¬ £¬£¬£¬£¬£¬£¬£¬ÓÐÅþÁ¬µÄ£¬ £¬£¬£¬£¬£¬£¬£¬Óеæ³ÄÖ§³ÖµÄ£¬ £¬£¬£¬£¬£¬£¬£¬ÓкϳÉÏËάµÄµÈ ¡£¡£¡£¡£¡£¶ø½áµÞ×éÖ¯µÄ¹¦Ð§¾ÍÊÇÅþÁ¬µæ³Ä£¬ £¬£¬£¬£¬£¬£¬£¬ËùÓÐÆ÷¹ÙÄÚÀï¶¼º¬ÓÐÕâЩ×éÖ¯ ¡£¡£¡£¡£¡£
     ÎªÊ²Ã´Èø÷ÈËÏÈÏàʶƤ·ôÄÚµÄ×éÖ¯ÒòËØ£¿£¿ £¿£¿£¿£¿£¿ÓÉÓÚÎÒËù˵µÄÔÙÉúÓëÕâЩ×éÖ¯¹ØÏµÇ×½ü ¡£¡£¡£¡£¡£ÎÒÃÇ´ÓÍâÔ´ÐԵĵ¼ÈëÔÙÉúÎïÖʱ¬·¢µÄÔÙÉúЧ¹û¿´£¬ £¬£¬£¬£¬£¬£¬£¬ÔÙÉúÓªÑøºóƤ·ôÖð½¥±¥ÂúÆðÀ´£¬ £¬£¬£¬£¬£¬£¬£¬ÇÒЧ¹ûºÜÊÇÏÔ×Å£¬ £¬£¬£¬£¬£¬£¬£¬µ«ÕâÁ¬Ã¦Õ¹Ïֵı¥Âú»¹²»ÊÇϸ°ûÔÙÉú±¬·¢µÄЧ¹û£¬ £¬£¬£¬£¬£¬£¬£¬¶øÊÇÔÙÉúÎïÖÊÓëÏÖÓеĽáµÞ×éÖ¯ÈÚºÏת±äµÄ¹ØÏµ ¡£¡£¡£¡£¡£ÎÒÃÇͨ¹ýÑõÆøµÄѹÁ¦£¬ £¬£¬£¬£¬£¬£¬£¬°ÑÎÒÃÇÕâÖÖÔÙÉúÎïÖʵ¼Èëµ½ÕæÆ¤À £¬£¬£¬£¬£¬£¬£¬Ëü¾Í³äÂúµ½½ºÔ­ÂѰ×˿֮¼ä£¬ £¬£¬£¬£¬£¬£¬£¬¶ø½ºÔ­ÂѰ×Ë¿±£´æÓÚ¾ßÓÐÅþÁ¬¡¢µæ³ÄÖ§³Ö¹¦Ð§µÄ½áµÞ×éÖ¯ÖУ¬ £¬£¬£¬£¬£¬£¬£¬ÔÙÉúÎïÖÊÓë½áµÞ×éÖ¯ÈÚºÏÔÚÒ»Æð£¬ £¬£¬£¬£¬£¬£¬£¬Æ¤·ôÁ¬Ã¦±¥ÂúÁË ¡£¡£¡£¡£¡£ÓÐЩҽѧÕûÐÎÃÀÈÝ£¬ £¬£¬£¬£¬£¬£¬£¬Ö±½Ó½«½ºÔ­µÈ×¢ÈëÆ¤Ï£¬ £¬£¬£¬£¬£¬£¬£¬ËäÈ»´ÓÍâòÉÏ¿´ÆðÀ´Æ¤·ôÒ²±¥ÂúÁË£¬ £¬£¬£¬£¬£¬£¬£¬µ«ÏÖʵÉϲ¢Ã»Óб»ÈËÌåÎüÊÕ£¬ £¬£¬£¬£¬£¬£¬£¬¶ø³ÉΪÒìÎïÔÚÌåÄÚÐγÉһö׼ʱըµ¯£¬ £¬£¬£¬£¬£¬£¬£¬ËæÊ±¶¼¿ÉÄܶÔÈËÌ屬·¢Î£º¦ ¡£¡£¡£¡£¡£¶øzotyÖÐÅ·ÌåÓýÔÙÉúÎïÖʵ¼ÈëÕæÆ¤ÒÔºó¾ÍºÍÕæÆ¤ÄÚÀïµÄ½áµÞ×éÖ¯ÈÚºÏÁË ¡£¡£¡£¡£¡£Æ¤·ô½áµÞ×éÖ¯°üÀ¨ÁËÏËά¡¢Ï¸°ûÍâ¼äÖʵȣ¬ £¬£¬£¬£¬£¬£¬£¬µ«²»Êǹ¦Ð§µ¥Î»£¬ £¬£¬£¬£¬£¬£¬£¬Ëü90%µÄÒòËØÊÇÖ¬·¾Ëá ¡£¡£¡£¡£¡£ËäÈ»³ÉÏËάϸ°û±¬·¢µÄ½ºÔ­ÂѰ×Ë¿ÊÇÒÔ°±»ùËáΪÖ÷£¬ £¬£¬£¬£¬£¬£¬£¬µ«Ò²±ØÐèÍŽáÖ¬·¾Ëá²Å»ªÐÎ³É ¡£¡£¡£¡£¡£½ºÔ­ÂѰ×Ë¿²»ÓëÍâÔ´½ºÔ­ÂѰ×ÖÊÍŽᣬ £¬£¬£¬£¬£¬£¬£¬²»ÊÇ˵°Ñ½ºÔ­ÂѰ׷ÅÔÚÆ¤·ôÄÚ¾ÍÄÜÐγÉË¿£¬ £¬£¬£¬£¬£¬£¬£¬¶øÊÇÕâÖÖ½ºÔ­ÂѰ×Ë¿±ØÐèͨÏ꾡°ûµÄÉúÎï×ÔÎҺϳɲÅÐУ¬ £¬£¬£¬£¬£¬£¬£¬½èÓÃÈκÎÍâÔ´ÐÔµÄÊֶκñÈÒûʳֱ½ÓÉãÈë¸ßÂѰ׵ȶ¼Ã»Óв½·¥Ö±½ÓÌìÉú ¡£¡£¡£¡£¡£ÔÙÕߣ¬ £¬£¬£¬£¬£¬£¬£¬ÈôÊÇ´ÓÆ¤·ôÍâÃæÖ±½Óµ¼ÈëÂѰ×ÖÊ£¬ £¬£¬£¬£¬£¬£¬£¬ÕâЩÂѰ×Öʼ´±ãÄܹ»½øÈëÆ¤Ï£¬ £¬£¬£¬£¬£¬£¬£¬Ò²±ØÐèÊ×ÏÈÆÊÎö³É°±»ùËá²Å¿ÉÄܱ»ÎüÊÕºÍʹÓ㬠£¬£¬£¬£¬£¬£¬£¬¿ÉÊÇ£¬ £¬£¬£¬£¬£¬£¬£¬ÔÚÕý³£ÇéÐÎϰ±»ùËᱻϸ°ûʹÓÃÊÇÓÐÌõ¼þÏÞÖÆµÄ£¬ £¬£¬£¬£¬£¬£¬£¬ÒªÆ¾Ö¤Ï¸°ûµÄÐÄÀíÐèÇóµ¼È룬 £¬£¬£¬£¬£¬£¬£¬²»ÊÇÒ»¸ö¼òÆÓµÄÎïÀíÀú³Ì£¬ £¬£¬£¬£¬£¬£¬£¬Òò´Ë£¬ £¬£¬£¬£¬£¬£¬£¬Ö±½Óµ¼ÈëÂѰ×ÖÊÒ²ÊDz»¿ÉÐÐµÄ ¡£¡£¡£¡£¡£×é³É½ºÔ­ÂѰ׵ݱ»ùËáÓÐ18ÖÖ£¬ £¬£¬£¬£¬£¬£¬£¬ÕâЩ°±»ùËáҪʩչ»îÐÔ£¬ £¬£¬£¬£¬£¬£¬£¬±ØÐèÒªÓÐÔØÌ壬 £¬£¬£¬£¬£¬£¬£¬Õâ¸öʹËû¾ßÓлîÐÔµÄÔØÌå¾ÍÊÇÎÒÃÇҪǿµ÷µÄÎïÖÊ¡ª¡ª¡°Ö¬·¾ËáÀàÎïÖÊ¡±(Ƥ·ôÔÙÉúÎïÖÊ)£¬ £¬£¬£¬£¬£¬£¬£¬ ¡°Ö¬·¾ËáÀàÎïÖÊ¡±ÊÇÒ»×é²»±¥ºÍÖ¬·¾Ëá ¡£¡£¡£¡£¡£ÕâÏîÊÖÒÕÊÇÎÒÃÇ·¢Ã÷µÄ£¬ £¬£¬£¬£¬£¬£¬£¬ËüµÄȪԴ·ÇͬѰ³££¬ £¬£¬£¬£¬£¬£¬£¬ÊÇÎÒÃÇÆ¾Ö¤Æ¤·ô×é֯ѧºÍÆ÷¹ÙÔÙÉúѧµÄʵÑéÑо¿³öÀ´µÄ ¡£¡£¡£¡£¡£
     ÕâЩ½áµÞ×éÖ¯ÊÇÕæÆ¤µÄÖ÷Òª×é³ÉÒòËØ£¬ £¬£¬£¬£¬£¬£¬£¬±ØÐèÓªÑøºÃ²Å»ª»Ø¸´ÎªÄêÇá״̬ ¡£¡£¡£¡£¡£ÒªÊ¹ÕâЩ½ºÔ­ÂѰ×Ë¿»Ö¸´ÕûÆëÓÐÐò£¬ £¬£¬£¬£¬£¬£¬£¬±ØÐèͨ¹ýÁ½¸ö;¾¶£¬ £¬£¬£¬£¬£¬£¬£¬Ò»¸ö;¾¶Ö±½Óͨ¹ýƤ·ôµ¼È룬 £¬£¬£¬£¬£¬£¬£¬ÓÃÁ½¸ö´óÆøÑ¹µÄ¸ßѹÑõÆøµ¼ÈëÕâÖÖ²»±¥ºÍÖ¬·¾Ëᣬ £¬£¬£¬£¬£¬£¬£¬ÈÃËü¼ÓÈëµ½ÕæÆ¤½áµÞ×éÖ¯´úлÄÚÀ £¬£¬£¬£¬£¬£¬£¬¿ÉÒÔÁ¢×ÝÈ»ËÉÉ¢µÄ½áµÞ×éÖ¯ºÍÏËά³ÉÊø£¬ £¬£¬£¬£¬£¬£¬£¬ÒÔÊÇÌåÑé¹ýÎÒÃÇÆ¤·ôÆ÷¹ÙԭλÔÙÉú»Ø¸´ÔÙÉúµÄÈ˶¼»á·¢Ã÷ÔÙÉúÎïÖʵ¼Èëºó»áÂíÉÏÊÕЧ ¡£¡£¡£¡£¡£ÁíÒ»¸ö;¾¶ÊÇͨ¹ýÔÙÉúÎïÖʱ»³ÉÏËάϸ°û²Ïʳºó£¬ £¬£¬£¬£¬£¬£¬£¬Ê¹³ÉÏËάϸ°ûԭλÔÙÉú»Ø¸´ÏòÄêÇá״̬¹ý¶É£¬ £¬£¬£¬£¬£¬£¬£¬Ê¹±¬·¢µÄ½ºÔ­ÏËάÂѰ×˿ͳöºó²»ÔÙ³ÉÉ¢×´µÄ£¬ £¬£¬£¬£¬£¬£¬£¬¶øÊÇÖØÐ³ÉÊø×´µÄ£¬ £¬£¬£¬£¬£¬£¬£¬ÕâÑù²Å»ª°ü¹ÜƤ·ôÔÚÖÐÄêʱÆÚ·ºÆðÒ»ÖÖÄêÇáµÄ״̬ ¡£¡£¡£¡£¡£
¡¾ÔÙÉúÎïÖÊÓëÆ¤·ôÉñ¾­×éÖ¯µÄ¹ØÏµ¡¿
     ¾öÒ鯤·ôµÄ״̬ÄêÇáÓë·ñ³ýÁËÒÔÉÏÁ½¸öÖ÷ÒªµÄ·½Ã棬 £¬£¬£¬£¬£¬£¬£¬ÁíÒ»¸ö¾ÍÊÇÆ¤·ô¸½¼þºÍÉñ¾­×éÖ¯ ¡£¡£¡£¡£¡£ÈôÊÇÆ¤·ôÆ÷¹ÙÄÚÀïµÄÉñ¾­×éÖ¯²»Ê¼ÖÕ¼á³ÖÒ»ÖÖÐËÍú״̬£¬ £¬£¬£¬£¬£¬£¬£¬Æ¤·ôҲûÓлîÁ¦ ¡£¡£¡£¡£¡£Æ¤·ôµÄÉñ¾­×éÖ¯ËäÈ»²»ÊÇÖÐÊàÉñ¾­£¬ £¬£¬£¬£¬£¬£¬£¬¿ÉÊÇÓÐÉñ¾­ÏËά¡¢Éñ¾­Ä©ÉÒ¡¢Ñ¹¾õÉñ¾­Ð¡Ìå¡¢¸ÐÊÜÉñ¾­Ð¡Ìå ¡£¡£¡£¡£¡£Ö»ÒªÕâЩÉñ¾­×éÖ¯Äܼá³ÖÎÞа״̬£¬ £¬£¬£¬£¬£¬£¬£¬ÈËµÄÆ¤·ô¾Í»áÓж¯¸Ð£¬ £¬£¬£¬£¬£¬£¬£¬ÒÔÊÇ£¬ £¬£¬£¬£¬£¬£¬£¬ÎÒÃÇÔÚ¾ÙÐÐÆ¤·ôÆ÷¹ÙÔÙÉú»Ø¸´Ê±µ¼ÈëµÄÔÙÉúÎïÖÊÄÚÀïÒ²º¬ÓÐÓªÑøÉñ¾­µÄÎïÖÊ£¬ £¬£¬£¬£¬£¬£¬£¬¿ÉÊÇÕâÖÖÎïÖʾø¶Ô²»ÊÇÐ˷ܼÁ£¬ £¬£¬£¬£¬£¬£¬£¬¶øÊÇͨ¹ýÉñ¾­µÄÔÙÉúÈÃÉñ¾­»Ö¸´¶¯¸Ð ¡£¡£¡£¡£¡£ÆäÖлָ´µÄÖ÷Ҫϸ°ûÊÇÑ©ÍúÊÏϸ°û£¬ £¬£¬£¬£¬£¬£¬£¬°ÑÄÜÈÃÑ©ÍúÊÏϸ°ûÔÙÉúµÄÒòËØÌí¼Óµ½Òªµ¼ÈëµÄÔÙÉúÎïÖÊÄÚÀï ¡£¡£¡£¡£¡£Ñ©ÍúÊÏϸ°û¾ÍÊÇÉñ¾­ÏËάÍâÃæ°üÈÆµÄÉñ¾­Ï¸°û£¬ £¬£¬£¬£¬£¬£¬£¬Ã»ÓÐÑ©ÍúÊÏϸ°û£¬ £¬£¬£¬£¬£¬£¬£¬Éñ¾­ÏËά¾Íʧȥ¹¦Ð§ ¡£¡£¡£¡£¡£ÔÚÆ¤·ôÄÚÀïÒª¼á³ÖÉñ¾­Ä©ÉÒµÄÐË·ÜÐÔºÍÉñ¾­Ð¡ÌåµÄÐË·ÜÐÔ£¬ £¬£¬£¬£¬£¬£¬£¬¾ÍÔöÌíÔÚÊÔÑéÉñ¾­ÔÙÉúµÄʱ¼äÌáÈ¡À´µÄÓªÑøÔÙÉúÎïÖÊÒòËØ ¡£¡£¡£¡£¡£ÉúÑÄÖÐÍÆÄÃÒ²¿ÉÒÔ±¬·¢¸ÐÊÜÉñ¾­ºÍѹ¾õÉñ¾­´Ì¼¤£¬ £¬£¬£¬£¬£¬£¬£¬Ê¹È˸ÐÓ¦ºÜã«Ò⣬ £¬£¬£¬£¬£¬£¬£¬µ«ºã¾Ã´Ì¼¤¾Í»áʧȥЧ¹û£¬ £¬£¬£¬£¬£¬£¬£¬ÕâÊÇÓÉÓÚÕâÖÖÉúÑÄÃÀÈݲ¢Ã»ÓжÔÉúÃüÌå×Ô¼º¸Ä±äʲô ¡£¡£¡£¡£¡£Òò´Ë£¬ £¬£¬£¬£¬£¬£¬£¬ÎÒÃÇ˵ҪÈÃÉñ¾­¶¯ÆðÀ´£¬ £¬£¬£¬£¬£¬£¬£¬ÈÃÆäÐË·Ü£¬ £¬£¬£¬£¬£¬£¬£¬µ«ÕâÖÖÐ˷ܲ»ÊÇÄÇÖÖҩѧµÄÐË·ÜÐÔ£¬ £¬£¬£¬£¬£¬£¬£¬¶øÊÇÐÄÀíµÄÔÙÉú»Ö¸´µÄÐË·ÜÐÔ£¬ £¬£¬£¬£¬£¬£¬£¬Ò²¾ÍÊÇÓÃͨÏ꾡°ûºÍ×éÖ¯Æ÷¹ÙÊÔÑé»ñµÃµÄÔÙÉúÎïÖÊ£¬ £¬£¬£¬£¬£¬£¬£¬²Å»ªÕæÕýʹÆä»Ö¸´Ê©Õ¹ÐÄÀí×÷Óà ¡£¡£¡£¡£¡£

     ¡¾Æ¤·ô¼¡Èâ×éÖ¯ÔÙÉúÓëÆ¤·ôÔÙÉú»Ø¸´µÄ¹ØÏµ¡¿
      ¼¡Èâ×éÖ¯ÔÚÆ¤·ôÖÐÖ÷ÒªÊǺ¹Ã«Á¢Ã«¼¡ºÍѪ¹Ü±ÚµÄƽ»¬¼ ¡£¡£¡£¡£¡£¬ £¬£¬£¬£¬£¬£¬£¬¼¡ÈâºÍÉñ¾­ÊÇÁ¬ÔÚÒ»ÆðµÄ£¬ £¬£¬£¬£¬£¬£¬£¬Ò»Ð©¸ÐÊÜÉñ¾­¡¢Ñ¹Á¦Éñ¾­µÄÉñ¾­Ä©ÉÒ£¬ £¬£¬£¬£¬£¬£¬£¬ÔÚ±¬·¢ÐÅÏ¢´«¸ø´óÄÔºó£¬ £¬£¬£¬£¬£¬£¬£¬´óÄÔ×ÔÉí£¬ £¬£¬£¬£¬£¬£¬£¬»òÖ¸»ÓÆäËûÆ÷¹Ù±¬·¢ÖÖÖÖ¼¤ËØ£¬ £¬£¬£¬£¬£¬£¬£¬ÕâЩ¼¤ËØÍ¨¹ýÌåҺѭ»·µÖ´ïƤ·ô£¬ £¬£¬£¬£¬£¬£¬£¬Ê¹Æ¤·ôÄð³ÉÀàËÆÓÚÈËÉñ²ÉÞÈÞȵÄ״̬ ¡£¡£¡£¡£¡£ÕâÖ÷ÒªÌåÏÖÔÚÆ¤·ôµÄ΢ѭ»·ÉÏ£¬ £¬£¬£¬£¬£¬£¬£¬ºÃ±ÈÉúÆøµÄʱ¼äÃæ²¿ÑÕÉ«µÄת±ä¾ÍÊÇ´óÄÔ±¬·¢µÄÐ˷ܼ¤ËضÔѪ¹ÜµÄ·´Ó¦£¬ £¬£¬£¬£¬£¬£¬£¬Ñª¹ÜÓЦÁºÍ¦ÂÊÜÌ壬 £¬£¬£¬£¬£¬£¬£¬¦ÂÊÜÌåʹѪ¹ÜÀ©ÕÅ£¬ £¬£¬£¬£¬£¬£¬£¬½ÓÊܼ¤ËغóÃæÉ«±äºì £»£»£»£»£»£»£»£»¦ÁÊÜÌåʹѪ¹ÜËõ¶Ì£¬ £¬£¬£¬£¬£¬£¬£¬½ÓÊܼ¤ËغóÃæÉ«±ä°× ¡£¡£¡£¡£¡£ÕâÁ½ÖÖÊÜÌå¿¿ÌåÒºÖ§Å䣬 £¬£¬£¬£¬£¬£¬£¬²»ÊÇͨ¹ý¾Ö²¿´Ì¼¤¿ÉÒÔ±¬·¢µÄ ¡£¡£¡£¡£¡£¸÷È˳£¼ûµ½µÄÄÇÖÖÆ¤·ô±»ÅÄ´òÊÂºó£¬ £¬£¬£¬£¬£¬£¬£¬¾Ö²¿»á±äºì£¬ £¬£¬£¬£¬£¬£¬£¬Äǿɲ»ÊÇÕâÖÖÔµ¹ÊÔ­ÓÉÔì³ÉµÄ£¬ £¬£¬£¬£¬£¬£¬£¬¶øÊǾֲ¿ÓÐÁËËðÉË ¡£¡£¡£¡£¡£ÒÔÊÇÎÒÃÇÔÚÆ¤·ôÔÙÉúµÄʱ¼äÒ²ÒªÌØÊâ×¢ÖØÆ¤·ô¼¡Èâ×éÖ¯¡¢Ñª¹Ü×éÖ¯µÄ·´Ó¦ ¡£¡£¡£¡£¡£

      ÁíÍ⣬ £¬£¬£¬£¬£¬£¬£¬Æ¤·ôÄÚÀïÓк¹Ã«Á¢Ã«¼ ¡£¡£¡£¡£¡£¬ £¬£¬£¬£¬£¬£¬£¬Õ⺹ëÁ¢Ã«¼¡ÊÇÆ¤·ô¾ßÓж¯¸ÐµÄÓÖÒ»¾öÒéÒòËØ ¡£¡£¡£¡£¡£¼¡ÈâÀ­¶¯ÊÇÒ»ÖÖÆ¤·ô¶¯Ì¬µÄת±ä£¬ £¬£¬£¬£¬£¬£¬£¬Á¢Ã«¼¡Ëõ¶Ì²»µ«ÄÜÉøÍ¸Æ¤Ö¬ÏÙÀïµÄ¹¤¾ß£¬ £¬£¬£¬£¬£¬£¬£¬»¹¿ÉÒÔµ÷ÀíÆ¤·ô¹ØÓÚÍâ½çÇéÐεĴ̼¤·´Ó¦ ¡£¡£¡£¡£¡£º¹Ã«Á¢Ã«¼¡ÆðʼÓÚë¸ÉµÄÖжˣ¬ £¬£¬£¬£¬£¬£¬£¬ÖÕÖ¹ÓÚÕæÆ¤ÈéÍ·²ãdz²¿ ¡£¡£¡£¡£¡£Æ¤Ö¬ÏÙÊDZ¬·¢Æ¤Ö¬µÄ(ͼ1)£¬ £¬£¬£¬£¬£¬£¬£¬Á¢Ã«¼¡Ëõ¶Ì±¬·¢¼·Ñ¹£¬ £¬£¬£¬£¬£¬£¬£¬Æ¤Ö¬ÏÙ¾ÍÇãÔþƤ֬ ¡£¡£¡£¡£¡£ÀýÈç·Û´ÌÊÇÓÉÓÚº¹Ã«Á¢Ã«¼¡´¦ÓÚ²»ÐË·Ü״̬£¬ £¬£¬£¬£¬£¬£¬£¬Æ¤Ö¬±¬·¢¹ý¶àÓÖÉøÍ¸²»³©¶øÔì³É¹£Èû ¡£¡£¡£¡£¡£Æ¤·ôÀïÉÐÓÐÒ»ÖÖ¼¡Ï¸°û£¬ £¬£¬£¬£¬£¬£¬£¬ËüÂþÑÜÔÚº¹ÏÙÖÜΧ£¬ £¬£¬£¬£¬£¬£¬£¬¼¡Ï¸°ûÔÚÊܵ½Íâ½ç´Ì¼¤»òÊܵ½»úÌåÄÚÌåÒºÐźÅËõ¶ÌʱÈ˾ͻá³öº¹ ¡£¡£¡£¡£¡£ÒÔÊÇʵÏÖÆ¤·ô¼¡Èâ×éÖ¯µÄԭλÔÙÉú£¬ £¬£¬£¬£¬£¬£¬£¬¼á³Ö¼¡ÈâÄêÇá״̬£¬ £¬£¬£¬£¬£¬£¬£¬²ÅÊǰü¹ÜƤ·ôÄêÇá״̬µÄ»ù´¡ ¡£¡£¡£¡£¡£
     ¡¾ÔÙÉúÎïÖÊÓëÆ¤·ô×éÖ¯Æ÷¹Ù¡¿
     ÎÒÃÇ2002Äê°ÑÕûСÎÒ˽¼ÒÌåµÄ×éÖ¯£¨ÉÏÆ¤×éÖ¯¡¢½áµÞ×éÖ¯¡¢Éñ¾­×éÖ¯¡¢¼¡Èâ×éÖ¯£©ÐγɵÄ×éÖ¯Æ÷¹Ù»®·ÖΪÖÁÉÙ206À࣬ £¬£¬£¬£¬£¬£¬£¬Æä·ÖÀàÒÀ¾ÝÊÇϸ°ûÖֱ𣬠£¬£¬£¬£¬£¬£¬£¬ÌØÊâÊÇ´ÓÆ÷¹ÙÔÙÉúµÄϸ°ûѧ½Ç¶È»®·ÖµÄ ¡£¡£¡£¡£¡£È˵Ä×éÖ¯·ÖÀà¾ÍËÄ´ó×éÖ¯£¬ £¬£¬£¬£¬£¬£¬£¬ËÄ´ó×éÖ¯ÄÚÀïÓÖÓÐÐí¶àÖÖÀ࣬ £¬£¬£¬£¬£¬£¬£¬Èç¹Ç÷À¼¡¡¢Ðļ¡¡¢Æ½»¬¼¡µÈµÈ¼¡Èâ×éÖ¯ £»£»£»£»£»£»£»£»¹Ç÷À¡¢ÈÍ´ø¶¼ÊǽáµÞ×éÖ¯£¬ £¬£¬£¬£¬£¬£¬£¬½áµÞ×éÖ¯Ò²·ÖÐí¶àÀàÐÍ£¬ £¬£¬£¬£¬£¬£¬£¬ÓÐËÉÉ¢µÄ¡¢ÓÐÖÂÃܵģ¬ £¬£¬£¬£¬£¬£¬£¬Æ¤·ôÊÇËÉÉ¢µÄ½áµÞ×éÖ¯£¬ £¬£¬£¬£¬£¬£¬£¬Ò²ÕýÓÉÓÚÆ¤·ôÊÇËÉÉ¢µÄ½áµÞ×éÖ¯£¬ £¬£¬£¬£¬£¬£¬£¬ÒÔÊÇÎÒÃDzŻª¹»Í¨¹ýÍâÔ´ÐԵĵ¼ÈëÔÙÉúÓªÑøÎïÖʶøÊ¹Æ¤·ô¸üÓе¯ÐÔ(ͼ2) ¡£¡£¡£¡£¡£ÒªÏëʵÏÖÆ¤·ôÆ÷¹ÙÖÐµÄ±íÆ¤¡¢ÕæÆ¤¡¢ÕæÆ¤µÄ¸½¼þ¡¢¼¡È⡢Ѫ¹Ü¡­¡­µÈËùÓÐԭλ¸üУ¬ £¬£¬£¬£¬£¬£¬£¬¾Í±ØÐèÒªÖÜÈ«µÄÔÙÉúÆô¶¯£¬ £¬£¬£¬£¬£¬£¬£¬¼´µ¼ÈëµÄÎïÖʱØÐèʹËùÓÐ×éÖ¯ËùÓд¦ÓÚÔÙÉú״̬ ¡£¡£¡£¡£¡£
     ¹ØÓÚÒÔÉÏÕâЩ½áÂÛÎÒÃǺÜÊÇÓÐÕÆÎÕ£¬ £¬£¬£¬£¬£¬£¬£¬ÓÉÓÚÎÒÃÇÓÐ20¶àÄêµÄƤ·ôÔÙÉúÁÙ´²ÂÄÀú ¡£¡£¡£¡£¡£zotyÖÐÅ·ÌåÓýʪÈóÉÕÉ˸ಢ²»ÊÇÒ»ÏÂ×Ó¾ÍÑо¿³öÀ´µÄ£¬ £¬£¬£¬£¬£¬£¬£¬´Ó×îÏȵĴ´ÃæÊªÈóµ½Ò»Ñùƽ³£µÄ´´ÃæÓúºÏ£¬ £¬£¬£¬£¬£¬£¬£¬½Ó×ŵ½Éî¶þ¶ÈïÔÌ­°ÌºÛÓúºÏ£¬ £¬£¬£¬£¬£¬£¬£¬ÔÙµ½Éî¶þ¶ÈÓúºÏÎް̺ۣ¬ £¬£¬£¬£¬£¬£¬£¬´ËºóÓÖÉú³¤µ½Èý¶ÈÉÕÉËÄÜÓúºÏÓа̺ۣ¬ £¬£¬£¬£¬£¬£¬£¬ÔÙµ½Èý¶ÈÉÕÉËÓúºÏÎް̺ۣ¬ £¬£¬£¬£¬£¬£¬£¬ÒÔºóÓÖÏ£Íûµ½²»µ«½öÊÇÆ¤·ôÉÕÉË£¬ £¬£¬£¬£¬£¬£¬£¬²¢ÇÒÉ˼°µ½¼¡Èâ¹Ç÷À£¬ £¬£¬£¬£¬£¬£¬£¬¶¼Äܹ»ÊµÏÖÆ¤·ôÔÙÉú£¬ £¬£¬£¬£¬£¬£¬£¬Ö»ÒªÓйÇÍ·ÔÚ£¬ £¬£¬£¬£¬£¬£¬£¬¾ÍÄÜʹÈí×éÖ¯ºÍƤ·ôÔÙÉú³öÀ´ £¬ £¬£¬£¬£¬£¬£¬£¬Õâôһ²½Ò»²½×ß¹ýÀ´µÄ ¡£¡£¡£¡£¡£ÒÔÊÇ£¬ £¬£¬£¬£¬£¬£¬£¬´ÓƤ·ôµÄÍâò×îÏÈ£¬ £¬£¬£¬£¬£¬£¬£¬Ò»²½Ò»²½µ½×îºóʵÏÖ£¬ £¬£¬£¬£¬£¬£¬£¬ÓÃÒ»¸öϸ°û¸´ÖÆÔÙÉú³öËùÓеÄϸ°û ¡£¡£¡£¡£¡£ÔÚÕâ¸öÀú³Ìµ±ÖÐÎÒÃÇÒѾ­°ÑÕû¸öƤ·ôÆ÷¹ÙÔÙÉú³öÀ´ÁË£¬ £¬£¬£¬£¬£¬£¬£¬²¢ÐγÉÁËÆ¤·ôȱËðÔõÑùÔÙÉúµÄÀíÂÛºÍÊÖÒÕ ¡£¡£¡£¡£¡£È»ºóÔÙ˼Ë÷Õý³£µÄƤ·ôÔõÑùÔÙÉú£¬ £¬£¬£¬£¬£¬£¬£¬Õý³£Æ¤·ôµÄëϸѪ¹ÜÓÐһЩ´øÓа뿹ԭÐÔ£¬ £¬£¬£¬£¬£¬£¬£¬»ò´øÓÐÌØÒìÇãÔþÐÔ×Ó£¬ £¬£¬£¬£¬£¬£¬£¬Ò»Ð©ÎïÖʵ½Ã«Ï¸Ñª¹Ü¾Í±»×èÖ¹ÁË£¬ £¬£¬£¬£¬£¬£¬£¬ÎÞ·¨½øÈ룬 £¬£¬£¬£¬£¬£¬£¬Ö»ÄÜͨ¹ýÁܰÍϵͳ±»×ª»Ø£¬ £¬£¬£¬£¬£¬£¬£¬Òò´ËûÓв½·¥Í¨¹ýëϸѪ¹ÜµÄÎüÊÕÀ´ÓªÑøÏ¸°û ¡£¡£¡£¡£¡£Æ¤·ôºÍ±ðµÄÆ÷¹Ù·×ÆçÑù£¬ £¬£¬£¬£¬£¬£¬£¬ÓÐЩ´øÀàËÆ¿¹Ô­ÐÔ×ÓµÄÒòËØµÖ´ï²»ÁËϸ°û£¬ £¬£¬£¬£¬£¬£¬£¬ÒÔÊÇҪ͎áÍâÔ´ÐÔ×¢ÈëµÄÒªÁ죬 £¬£¬£¬£¬£¬£¬£¬ËäÈ»ÍâÔ´ÐÔÎïÖʵ¼ÈëÁ¿²»´ó£¬ £¬£¬£¬£¬£¬£¬£¬¿ÉÊǶ¼Äܹ»±»µ¼ÈëÕæÆ¤²ã ¡£¡£¡£¡£¡£(ͼ3)º¹ÏÙ¡¢Æ¤Ö¬ÏÙ¡¢Ã«ÄÒ¡¢Ã«·¢µÈÏÖʵÉÏ´ÓÅß̥ʱÆÚ¾ÍÊÇÓÉÒ»¸ö¸Éϸ°û·¢ÓýÀ´µÄ ¡£¡£¡£¡£¡£±íƤµÄ»ùÄÚÇé°ûÅŵúÜÕûÆë£¬ £¬£¬£¬£¬£¬£¬£¬¿´ÉÏÈ¥¶¼ÊÇÒ»¸ö¸öµÄ£¬ £¬£¬£¬£¬£¬£¬£¬ÏÖʵÉÏËüÃÇÊÇÒ»Á¬µÄ£¬ £¬£¬£¬£¬£¬£¬£¬Æ¤·ô±íƤµÄÉϰ벿·Ö¶¼ÊÇ¿¿»ùÄÚÇé°û·Ö½â¶øÀ´µÄ ¡£¡£¡£¡£¡ £»£»£»£»£»£»£»£»ùÄÚÇé°ûÉÏÃæ¸÷²ã¿ÉÒÔ¶¼Ã»ÓУ¬ £¬£¬£¬£¬£¬£¬£¬µ«Õâ²ã»ùÄÚÇé°û±ØÐè±£´æ£¬ £¬£¬£¬£¬£¬£¬£¬Ö»ÒªÓÐÕâ²ãϸ°û£¬ £¬£¬£¬£¬£¬£¬£¬Æ¤·ôµÄÍâò¾Í»á»Ö¸´µÃÍêºÃÎÞËð ¡£¡£¡£¡£¡£Ò½Ñ§Éϳ£ËµµÄƤ·ôµÄÐÄÀíÐÔÔÙÉú¾ÍÊÇÖ¸±íƤ»ùÄÚÇé°û²ãÔÙÉúµÄ¿´·¨£¬ £¬£¬£¬£¬£¬£¬£¬Ö»ÒªÕâ²ãϸ°ûÔÚ£¬ £¬£¬£¬£¬£¬£¬£¬¾ÍÄÜ°Ñ±íÆ¤ÍâÃæ¸÷²ã¶¼ÔÙÉú³öÀ´ ¡£¡£¡£¡£¡£±íƤµÄ×é³ÉÌõÀíÓÉÉî²ãµ½±í²ãÖ÷ÒªÊÇ»ùµ×²ã¡¢¼¬²ã¡¢¿ÅÁ£²ã£¬ £¬£¬£¬£¬£¬£¬£¬×îÉÏÃæÊǽÇÖʲ㠡£¡£¡£¡£¡£


     ¡¾Æ¤·ôԭλÔÙÉú»Ø¸´ÊÖÒյĻúÀí½¹µã¡¿
Ò»Ñùƽ³£µÄƤ·ôÃÀÈÝΪÁËÈÃÆ¤·ôÍâòÏÔµÃϸÄÛ£¬ £¬£¬£¬£¬£¬£¬£¬¾ÍÏ뾡²½·¥´ÓƤ·ôÍâòȥËÀƤ£¬ £¬£¬£¬£¬£¬£¬£¬ËÀƤȥµÃÔ½¶à£¬ £¬£¬£¬£¬£¬£¬£¬Æ¤·ô¾ÍÔ½± ¡£¡£¡£¡£¡£¬ £¬£¬£¬£¬£¬£¬£¬ÍâòҲ¾Í»áԽƽ»¬¡¢ºìÈóºÍͨ͸£¬ £¬£¬£¬£¬£¬£¬£¬µ«ÏÖʵÉÏÕâÊÇÒ»ÖÖÆ¤·ôÊÜËðµÄÌåÏÖ£¬ £¬£¬£¬£¬£¬£¬£¬²¢Ã»ÓÐÕæÕýÆðµ½± £»£»£»£»£»£»£»£»¤Æ¤·ôµÄ×÷Óà ¡£¡£¡£¡£¡£ÓÉÓÚ£¬ £¬£¬£¬£¬£¬£¬£¬Æ¤·ôÒ»µ©ËðÉ˵½¼¬²ã»ò»ùÄÚÇé°û£¬ £¬£¬£¬£¬£¬£¬£¬¾Í»á·ºÆð³£¼ûµÄÃÀÈÝÎÊÌ⣬ £¬£¬£¬£¬£¬£¬£¬È绯ױƷ°ß¡¢É«ËØÀä¾²¡¢¼¤¹â°ÌºÛµÈµÈ ¡£¡£¡£¡£¡£
     ¶øÆ¤·ôÆ÷¹ÙԭλÔÙÉú»Ø¸´ÒªÇóʵÏÖ±íÆ¤´úлÐËÍú¡¢ÕæÆ¤½ôÖ±¥Âú£¬ £¬£¬£¬£¬£¬£¬£¬ÓÉÓÚÕæÆ¤ÏÂÃæº¬Óдó×ڵijÉÏËάϸ°û£¬ £¬£¬£¬£¬£¬£¬£¬¶ø³ÉÏËάϸ°û¿ÉÒÔ±¬·¢½ºÔ­ÏËάÂѰ×Ë¿ ¡£¡£¡£¡£¡£½ºÔ­ÏËάÂѰ×Ë¿ÓÐÈýÖÖ£¬ £¬£¬£¬£¬£¬£¬£¬ÕæÆ¤µÄÉϲ¿Ö÷ÒªÊǽºÔ­ÏËά£¬ £¬£¬£¬£¬£¬£¬£¬Ëü½ÏÁ¿Ó²£¬ £¬£¬£¬£¬£¬£¬£¬Íø×´ÏËά´©²åÔÚÕæÆ¤Ï²¿ £»£»£»£»£»£»£»£»µ¯Á¦ÏËά´©²åÔÚÖÖÖÖÏËά֮¼ä ¡£¡£¡£¡£¡£ÕâÄÚÀïµÄÈýÖÖÏËά£¬ £¬£¬£¬£¬£¬£¬£¬Ò»¸öÊǺá×ŵģ¬ £¬£¬£¬£¬£¬£¬£¬Ò»¸öÊÇÍø×´µÄ£¬ £¬£¬£¬£¬£¬£¬£¬Ò»¸öÔÚÄÚÀï¼ÐÔÓ×ÅÓе¯Á¦µÄ ¡£¡£¡£¡£¡£ÕâÈýÖÖÏËά¶¼Éæ¼°³ÉÏËάϸ°û£¬ £¬£¬£¬£¬£¬£¬£¬ÊǺÜÊÇÖ÷ÒªµÄ ¡£¡£¡£¡£¡£ÒªÏë½â¾öÕâÈýÖÖÏËάµÄÎÊÌ⣬ £¬£¬£¬£¬£¬£¬£¬±ØÐè°Ñ±¬·¢ÕâÈýÖÖÏËάµÄϸ°ûÑøºÃ£¬ £¬£¬£¬£¬£¬£¬£¬ÏËά²Å»ªÑøºÃ ¡£¡£¡£¡£¡£³ÉÏËάϸ°ûµÃ²»µ½ÓªÑø¾Í²»¿ÉÄܱ¬·¢¿µ½¡µÄÈýÖÖÏËά ¡£¡£¡£¡£¡£
     ÏÖÔÚµÄÉúÑÄÃÀÈÝ»ù±¾ÉÏÓëÓªÑøÕâЩÏËάûÓÐÈκιØÏµ£¬ £¬£¬£¬£¬£¬£¬£¬Ö÷ÒªÊÇÓÉÓÚËüûÓв½·¥½â¾öÉî²ãÓªÑøÎÊÌ⣬ £¬£¬£¬£¬£¬£¬£¬½ö½öʹƤ·ôÍâò±äµÃƽ»¬°ÕÁË ¡£¡£¡£¡£¡£zotyÖÐÅ·ÌåÓýƤ·ôÆ÷¹ÙÔÙÉú£¬ £¬£¬£¬£¬£¬£¬£¬¾ÍÄÜʵÏÖ³ÉÏËάϸ°ûÔÙÉú£¬ £¬£¬£¬£¬£¬£¬£¬³ÉÏËάϸ°û²»ÊÇÏËάϸ°û£¬ £¬£¬£¬£¬£¬£¬£¬³ÉÏËάϸ°û¿ÉÒÔ±¬·¢ÐÄÀíÐÔÏËάÂѰ×Ë¿£¬ £¬£¬£¬£¬£¬£¬£¬¶øÏËάϸ°ûÊÇÒ»ÖÖÀÏ»¯µÄ±äÒìµÄϸ°û ¡£¡£¡£¡£¡£ÈËµÄÆ¤·ôËæ×ÅÄêËêµÄÔöÌí¶øÀÏ»¯£¬ £¬£¬£¬£¬£¬£¬£¬¶ø³ÉÏËάϸ°û¹¦Ð§Ô½À´Ô½µÍÏ£¬ £¬£¬£¬£¬£¬£¬£¬×îºó¡°³ÉÏËάϸ°û¡±Äð³É¡°ÏËάϸ°û¡±£¬ £¬£¬£¬£¬£¬£¬£¬¾Í²»¿ÉÔÙ±¬·¢½ºÔ­ÂѰ×Ë¿ÁË£¬ £¬£¬£¬£¬£¬£¬£¬Ã»ÓнºÔ­ÂѰ×Ë¿µÄƤ·ô¾Í»áËúÏÝ ¡£¡£¡£¡£¡£zotyÖÐÅ·ÌåÓýƤ·ôÔÙÉú¾ÍÊÇÒª¼á³Ö³ÉÏËάϸ°ûµÄ¹¦Ð§£¬ £¬£¬£¬£¬£¬£¬£¬³ÉÏËάϸ°û¹¦Ð§Õý³££¬ £¬£¬£¬£¬£¬£¬£¬¾ÍÄÜÒ»Á¬×Ô¶¯±¬·¢ÁîÆ¤·ô³äÔ£µÄÏËάÂѰ×Êø ¡£¡£¡£¡£¡£ÎÒÃÇÔÚÆ¤·ôÆ÷¹ÙµÄÔÙÉú»Ø¸´ÉÏ£¬ £¬£¬£¬£¬£¬£¬£¬ÊÇÓÃÑõÆøµ¼ÈëµÄ²½·¥£¬ £¬£¬£¬£¬£¬£¬£¬½«º¬ÓÐÖÖÖÖÔÙÉúÓªÑøÒòËØµÄÔÙÉúÎïÖʵ¼ÈëÆ¤·ôÕæÆ¤ÄÚ ¡£¡£¡£¡£¡£ÕâЩÎïÖÊÔÚÕæÆ¤µÄÖÖÖÖ×éÖ¯ÄÚÀïÖ±½Óʩչ×÷Ó㬠£¬£¬£¬£¬£¬£¬£¬Ê¹½ºÔ­ÏËάÂѰ×Ë¿´Ó·ÇÊø×´¡¢É¢×´Äð³ÉÊø×´£¬ £¬£¬£¬£¬£¬£¬£¬°ÑÏËάÂѰ×Ö®¼äÌî³äµÃ½ÏÁ¿³äÔ£ ¡£¡£¡£¡£¡£µ¼ÈëµÄÎïÖÊ´úлÖÜÆÚÊÇÒ»ÖÜÃÜÁ½ÖÜʱ¼ä£¬ £¬£¬£¬£¬£¬£¬£¬¹ýÁËÕâ¸öʱ¼ä¾Í×Ô¶¯´úлµôÁË ¡£¡£¡£¡£¡£±íƤϸ°ûµÄÔÙÉú¸üÐÂÒ²ºÜÖ÷Òª£¬ £¬£¬£¬£¬£¬£¬£¬µ«²»Èç³ÉÏËάϸ°ûÔÙÉú¸üÐÂÖ÷Òª£¬ £¬£¬£¬£¬£¬£¬£¬ÓÉÓÚ±íÆ¤»ùÄÚÇé°û×Ô¼º¾ÍÊǸÉϸ°û£¬ £¬£¬£¬£¬£¬£¬£¬×ÔÉí¾ÍÓÐÔÙÉú¹¦Ð§£¬ £¬£¬£¬£¬£¬£¬£¬Óò»±ØÔÙÉúÎïÖʶ¼¿ÉÔÙÉú£¬ £¬£¬£¬£¬£¬£¬£¬Ö»ÊÇÎÒÃÇÓÃÔÙÉúÎïÖÊÄÜÔöÇ¿²¢°ü¹ÜËüµÄ¸Éϸ°û¹¦Ð§£¬ £¬£¬£¬£¬£¬£¬£¬ÊµÏÖ±íÆ¤µÄÄêÇᣬ £¬£¬£¬£¬£¬£¬£¬µ«ÎÒÃDz¢Ã»ÓдÓϸ°ûÔÙÉúÊôÐÔÉϸıäËü ¡£¡£¡£¡£¡£ËäÈ»Õâ¸ö±íƤ¸Éϸ°ûÊǽÏÁ¿³õ¼¶µÄÒ»ÖÖ½üÖն˸Éϸ°û£¬ £¬£¬£¬£¬£¬£¬£¬µ«Ò²°ü¹ÜÁËÕû¸ö»ùÄÚÇé°û²ã½ÏÇ¿µÄ×ÔÎÒÐÞ¸´ÄÜÁ¦ ¡£¡£¡£¡£¡£¾Ù¸öÀý×ÓÀ´Ëµ£¬ £¬£¬£¬£¬£¬£¬£¬¶ùͯµÄϸ°û¶¼ÊÇK15(½ÇÂѰ×15£¬ £¬£¬£¬£¬£¬£¬£¬Êý×ÖÔ½´óԽԭʼ)£¬ £¬£¬£¬£¬£¬£¬£¬Õâ¸öϸ°ûÉú·¢ÄÜÁ¦ºÜÇ¿ £»£»£»£»£»£»£»£»Ò»¸ö90ËêµÄÀÏÈËÖ»ÓÐ5%µÄϸ°û¾ßÓлîÐÔ£¬ £¬£¬£¬£¬£¬£¬£¬95%¶¼Ã»ÓÐÉú·¢ÄÜÁ¦ ¡£¡£¡£¡£¡£Õâ¾ÍÚ¹ÊÍÁËΪʲôÍíÄêÈËµÄÆ¤·ôËÉиÏ´¹£¬ £¬£¬£¬£¬£¬£¬£¬À­ÉìºóÎÞ·¨»Ö»Ø¸´×´£¬ £¬£¬£¬£¬£¬£¬£¬¾ÍÊÇÓÉÓÚ±íÆ¤µÄ»ùÄÚÇé°û´úлÂÊ»ù±¾Ã»ÓÐÁË£¬ £¬£¬£¬£¬£¬£¬£¬ÕæÆ¤ÖнºÔ­ÂѰ×Ë¿º¬Á¿ºÜÉÙ ¡£¡£¡£¡£¡£Í¬ÑùÔµ¹ÊÔ­ÓÉ£¬ £¬£¬£¬£¬£¬£¬£¬ÍíÄêÈËµÄ±íÆ¤Ï¸Äå¶ÈҲûÓÐÄêÇáÈ˺à ¡£¡£¡£¡£¡£Ò»Ñùƽ³£À´Ëµ£¬ £¬£¬£¬£¬£¬£¬£¬È˹ýÁË40ËêÆ¤·ô¾ÍÓÐÒ»°ëµÄϸ°û²»ÊÂÇéÁË ¡£¡£¡£¡£¡£±íƤ±£´æÐí¶àϸ°û£¬ £¬£¬£¬£¬£¬£¬£¬Òò´ËÎÒÃǵ¼ÈëÔÙÉúÎïÖÊºó£¬ £¬£¬£¬£¬£¬£¬£¬²»µ«ÊÇÕë¶Ô³ÉÏËάϸ°ûÆð×÷Ó㬠£¬£¬£¬£¬£¬£¬£¬¶ÔÆäËûϸ°ûÒ²ÓÐ×÷Ó㬠£¬£¬£¬£¬£¬£¬£¬´Ó±íƤһֱµ½Ã«ÄÒ¡¢º¹ÏÙ¡¢Æ¤Ö¬ÏÙ¶¼ÊÇÁ¢ÌåµÄÓªÑø ¡£¡£¡£¡£¡£Òª×¢ÖØ´¿´âÊÇÆ¤·ôÍâòÓÃÓªÑø£¬ £¬£¬£¬£¬£¬£¬£¬Æð²»µ½Æ¤·ôÆ÷¹ÙÕûÌåÔÙÉú»Ø¸´µÄЧ¹û£¬ £¬£¬£¬£¬£¬£¬£¬ÓÉÓÚûÓÐÓªÑøµ½ÕæÆ¤£¬ £¬£¬£¬£¬£¬£¬£¬µ½²»ÁËÕæÆ¤¾Íû²½·¥ÓªÑøÃ«¸É¡¢º¹ÏÙ¡¢Æ¤Ö¬ÏÙµÈ ¡£¡£¡£¡£¡£ÒªÖªµÀËüÃÇÊÇÒ»¸öϵͳ£¬ £¬£¬£¬£¬£¬£¬£¬Ò²¾ÍÊÇ˵ËüÃǵĹ¦Ð§ÊÇÒ»ÆðºËËãµÄ ¡£¡£¡£¡£¡£Ã¿Ò»¸ö±íƤ»ùÄÚÇé°ûÊͷŵÄÈκÎÒò×Ó£¬ £¬£¬£¬£¬£¬£¬£¬ÊÇÅäºÏÁªÏµÏ໥×÷ÓÃµÄ ¡£¡£¡£¡£¡£ÒÔÊÇ˵ÎÒÃDz»µ«½öÒª´ÓÍâÃæ¸øÓèÆ¤·ô± £»£»£»£»£»£»£»£»¤£¬ £¬£¬£¬£¬£¬£¬£¬¸üÖ÷ÒªµÄÊÇÒªÁ¢Ìåʽ± £»£»£»£»£»£»£»£»¤£¬ £¬£¬£¬£¬£¬£¬£¬Ò²Òª´ÓÏû»¯µÀÄÚÔ´¹©Ó¦±íÆ¤ÓªÑø ¡£¡£¡£¡£¡£´Ó±íƤ»ùµ×²ãµ½½Ç»¯²ã£¬ £¬£¬£¬£¬£¬£¬£¬¹²Ô¼30²ãϸ°û ¡£¡£¡£¡£¡£Ò²¾ÍÊÇ˵ϸ°û´Ó»ùµ×²ã×îÏÈÒ»²ã²ãÏòÉÏÍÆ½øÔÙÉú£¬ £¬£¬£¬£¬£¬£¬£¬Ò»²ãϸ°ûµÄ¹¦Ð§µÍÓÚÒ»²ã£¬ £¬£¬£¬£¬£¬£¬£¬×îºóÐγɽÇÖÊϸ°û£¬ £¬£¬£¬£¬£¬£¬£¬½ÇÖÊϸ°ûÊÇÍêȫûÓй¦Ð§µÄ ¡£¡£¡£¡£¡£Õâ30²ã·ÖËÄ´óÀࣺ»ùÄÚÇé°û²ã¡¢¼¬²ã¡¢¿ÅÁ£²ã¡¢½Ç»¯²ã ¡£¡£¡£¡£¡ £»£»£»£»£»£»£»£»ùÄÚÇé°ûÊÇÔ­·¢²ã£¬ £¬£¬£¬£¬£¬£¬£¬¼¬²ãÊÇÉú·¢²ã£¬ £¬£¬£¬£¬£¬£¬£¬¿ÅÁ£²ãϸ°û´úлÏà¶Ô»ºÂý£¬ £¬£¬£¬£¬£¬£¬£¬¿ÉÊÇϸ°ûÒѾ­ÍË»¯²¢Ðγɺ¬ÓÐÐí¶à¿ÅÁ£ÎïÖʵÄϸ°û£¬ £¬£¬£¬£¬£¬£¬£¬ÕâÊÇÈËÀà½ø»¯µÃÀ´µÄ ¡£¡£¡£¡£¡£¿£¿ £¿£¿£¿£¿£¿ÅÁ£²ã´¦ÓÚ¹¦Ð§²ã£¬ £¬£¬£¬£¬£¬£¬£¬¿ÅÁ£²ãÓë½Ç»¯²ãÖ®¼äµÄ¹ØÏµÊÇ£º¿ÅÁ£²ãÒÔÏÂÊǹ¦Ð§²ã£¬ £¬£¬£¬£¬£¬£¬£¬½Ç»¯²ã²»Êǹ¦Ð§²ã£¬ £¬£¬£¬£¬£¬£¬£¬ÊÇÆÁÕϲ㠡£¡£¡£¡£¡£¿£¿ £¿£¿£¿£¿£¿ÅÁ£²ãµÄÖ÷ҪʹÃüÊÇ·À»¯Ñ§ÇÖÊ´ ¡£¡£¡£¡£¡£ÈçһЩÍâ½çµÄËá¼îÎïÖʶԻúÌåÓÐÓ°ÏìµÄ»°£¬ £¬£¬£¬£¬£¬£¬£¬Ò»µ½¿ÅÁ£²ã¾Í±»×èÖ¹ÁË ¡£¡£¡£¡£¡£¼¬²ã³ýÓÐÉú±¬·¢ÓÃÍ⻹¾ßÓзÀË®×÷Ó㬠£¬£¬£¬£¬£¬£¬£¬ËüÊÇÕæÕýµÄ·ÀË®²ã ¡£¡£¡£¡£¡£±íƤҪÉú³¤£¬ £¬£¬£¬£¬£¬£¬£¬Ë­¹©Ó¦ÓªÑø£¿£¿ £¿£¿£¿£¿£¿ËüµÄÓªÑøÈªÔ´ÓÐÁ½¸öÇþµÀ£ºÒ»¸öÇþµÀ´ÓѪ¹ÜÀ´£¬ £¬£¬£¬£¬£¬£¬£¬ÑªÒºÖеÄÓªÑøÍ¨¹ý¼¬²ãÉøÈ룬 £¬£¬£¬£¬£¬£¬£¬Éøµ½¿ÅÁ£²ã£¬ £¬£¬£¬£¬£¬£¬£¬ÈËµÄÆ¤·ôÃÀ²»ÃÀ£¬ £¬£¬£¬£¬£¬£¬£¬Ö»ÒªÆ¤·ôÏÂÓÐÕý³£µÄѪҺѭ»·Æ¤·ô¾ÍÊÇÆ¯ÁÁµÄ ¡£¡£¡£¡£¡£µ«¿ÅÁ£²ãÒÔÍâµÄϸ°ûѪҺ¹©Ó¦²»ÁË£¬ £¬£¬£¬£¬£¬£¬£¬ÓÉÈËÌåµÄÁíÒ»¸ö¹©Ó¦ÇþµÀ¹©Ó¦ ¡£¡£¡£¡£¡£¸÷ÈËÒ²Ðí²»ÖªµÀ£¬ £¬£¬£¬£¬£¬£¬£¬º¹ÏÙ³ýÁËÉøÍ¸º¹Òºµ÷ÀíÌåÎÂÒÔÍâÉÐÓÐÒ»¸ö´ó¹¦Ð§£¬ £¬£¬£¬£¬£¬£¬£¬¾ÍÊÇ×÷ΪƤ·ô±íƤÍâ15²ãºÜÖ÷ÒªµÄÓªÑø¹©Ó¦Æ÷¹Ù£¨Ë®Ïࣩ£¬ £¬£¬£¬£¬£¬£¬£¬ÁíÍâÒ»¸öÓªÑøÎïÖÊÊÇÆ¤Ö¬£¨ÓÍÏࣩ£¬ £¬£¬£¬£¬£¬£¬£¬ÊÇÓÉÆ¤Ö¬ÏÙ±¬·¢³öÀ´µÄ£¬ £¬£¬£¬£¬£¬£¬£¬ÊÇ¿ÉÏûÈÚµÄÖ¬·¾Ëᣬ £¬£¬£¬£¬£¬£¬£¬ÕâÁ½ÕßË®ÏàºÍÓÍÏà×Ô¶¯È黯£¬ £¬£¬£¬£¬£¬£¬£¬ÁýÕÖÔÚ½ÇÖʲãÍâò£¬ £¬£¬£¬£¬£¬£¬£¬ÓªÑø×ÅÆ¤·ô±íƤÉϰ벿·Öϸ°û ¡£¡£¡£¡£¡£ÒÔÊÇÆ¤·ôÉøÍ¸µÄº¹ÒººÍƤ֬ÉÙÁ˲»¿É£¬ £¬£¬£¬£¬£¬£¬£¬¶àÁËÒ²²»¿É ¡£¡£¡£¡£¡£ÕâÒ²ÊÇÎÒÃÇÆ½Ê±Ëù˵µÄ¸ÉÐÔÆ¤·ôºÍÓÍÐÔÆ¤·ôµÄ·ÖÀàÒÀ¾Ý£¬ £¬£¬£¬£¬£¬£¬£¬ÏÖʵÉÏ£¬ £¬£¬£¬£¬£¬£¬£¬²»¹ÜÄÄÏî¶àÁËÉÙÁ˶¼Ç·ºÃ ¡£¡£¡£¡£¡£Æ¤·ôµÄ¿ÅÁ£²ãºÍ¼¬²ãÔÚÄÚÍâÓªÑøµÄ×÷ÓÃÏ£¬ £¬£¬£¬£¬£¬£¬£¬»¹Äܱ¬·¢Ò»ÏµÁÐ×Ô¼ºËùÐèÒªµÄÎïÖÊ ¡£¡£¡£¡£¡£ÒÔÊÇÓÐÁËËü£¬ £¬£¬£¬£¬£¬£¬£¬ÍâòµÄ½ÇÖʲã²Å»ª¿´ÆðÀ´Ï¸ÄåË®Èó ¡£¡£¡£¡£¡£

      ¡¾ÉøÍ¸Ñ¹ÓëÆ¤·ôÉúÃüµÄÏÈÌì¹ØÏµ¡¿
      Éç»áÉϵÄÐí¶àÃÀÈÝ»¯×±Æ·ËäȻҲ˼Á¿µ½ÁËÓÍÏàºÍË®Ï࣬ £¬£¬£¬£¬£¬£¬£¬´ò×ű £»£»£»£»£»£»£»£»¤Æ¤·ôµÄÆìÖÄ£¬ £¬£¬£¬£¬£¬£¬£¬µ«×ÐϸÆÊÎö¾Í»á·¢Ã÷ÎÊÌâ ¡£¡£¡£¡£¡£ÄÇЩ»¯×±Æ·ÓõÄË®ÊÇÊ²Ã´Ë®ÄØ£¿£¿ £¿£¿£¿£¿£¿ÊÇÈ¥Àë×ÓË® ¡£¡£¡£¡£¡£ÎªÊ²Ã´Ñ¡ÕâÖÖË®£¿£¿ £¿£¿£¿£¿£¿ÓÉÓÚÕâÖÖË®ÊǵÍÉøµÄ(ͼ5) ¡£¡£¡£¡£¡£Æ¤·ô¸ÉÔ £¬£¬£¬£¬£¬£¬£¬ËûÃǾÍÏëʹÓõÍÉøµÄ×÷ÓÃÈÃË®ÉøÈëÖÁƤ·ôÄÚ ¡£¡£¡£¡£¡£ÓÉÓÚËüµÍÉø£¬ £¬£¬£¬£¬£¬£¬£¬Ë®·Ö×ӾͻáÉøÈëÆ¤ÄÚ£¬ £¬£¬£¬£¬£¬£¬£¬²¢ÇÒËÙÂÊºÜ¿ì ¡£¡£¡£¡£¡£¶øÓÍÄØ£¬ £¬£¬£¬£¬£¬£¬£¬ÔçÏȶ¼ÓÿóÎïÓÍ£¬ £¬£¬£¬£¬£¬£¬£¬ÏÖÔÚÓеÄÒ²ÓÃÖ²ÎïÓÍ£¬ £¬£¬£¬£¬£¬£¬£¬µ«²»¹ÜÊÇ¿óÎïÓÍÕÕ¾ÉÖ²ÎïÓÍ£¬ £¬£¬£¬£¬£¬£¬£¬¶¼Ã»ÓÐʵÏÖÆäÏò¿ÉÈÜÐÔÖ¬·¾ËáÀàÎïÖʵÄת±ä ¡£¡£¡£¡£¡£¶øzotyÖÐÅ·ÌåÓýÔÙÉúÎïÖÊÓõͼÊÇ¿ÉÏûÈÚµÄÓÍ ¡£¡£¡£¡£¡£Ä³Ð©»¯×±Æ·ÀïµÄÖ¬·¾ËáÊDz»¿ÉÈÜÐԵģ¬ £¬£¬£¬£¬£¬£¬£¬Í¿ÔÚÆ¤·ôÉÏÖ»ÄÜÁýÕÖ£¬ £¬£¬£¬£¬£¬£¬£¬Ã»ÓÐÓªÑøÆ¤·ô±íƤϸ°û15²ãµÄ×÷Ó㬠£¬£¬£¬£¬£¬£¬£¬Ö»Êǰ²ÅÅ£¬ £¬£¬£¬£¬£¬£¬£¬·´µ¹ÊÇͿĨ¶àÁËÖ®ºó¹£ÈûƤ֬ÏÙÉøÍ¸¿×£¬ £¬£¬£¬£¬£¬£¬£¬¾Í»áÔì³É·Û´Ì ¡£¡£¡£¡£¡£Ë®ÊÇʹÓõÍÉø×÷Ó㬠£¬£¬£¬£¬£¬£¬£¬À´½â¾öÈÃË®Éø½øÈ¥£¬ £¬£¬£¬£¬£¬£¬£¬Ïë·¨ºÜºÃ£¬ £¬£¬£¬£¬£¬£¬£¬µ«µÍÉø×÷Óþ¿¾¹¶ÔƤ·ôÓÐûÓÐÀû񾀯£¿£¿ £¿£¿£¿£¿£¿Ò½Ñ§ÉÏÔçÒÑÓж¨ÂÛ£¬ £¬£¬£¬£¬£¬£¬£¬ËùÓеĻ¯×±Æ·¡¢»¤·ôÆ·¶¼Î£ÏÕÆ¤·ô ¡£¡£¡£¡£¡£¿£¿ £¿£¿£¿£¿£¿ÉΣÏÕÆ¤·ôΪʲô»¹ÓÃÄØ£¿£¿ £¿£¿£¿£¿£¿¾ÍÊÇÓÉÓÚ´ó×ÔÈ»µÄÆÆ»ËäÈ»¯×±Æ·»¹À÷º¦£¬ £¬£¬£¬£¬£¬£¬£¬ÊÇÓÃËðÉËСµÄÈ¡´úËðÉË´óµÄ ¡£¡£¡£¡£¡ £»£»£»£»£»£»£»£»¯×±Æ·µÄËðÉËÔÚҽѧÉÏһֱûÃ÷È·ËüµÄ»úÀí£¬ £¬£¬£¬£¬£¬£¬£¬ÎÒÃÇÃ÷È·ÁË£¬ £¬£¬£¬£¬£¬£¬£¬Ã÷È·ÆðÀ´ºÜÊÇÈÝÒ× ¡£¡£¡£¡£¡£

      Ê×ÏÈÆÊÎö£¬ £¬£¬£¬£¬£¬£¬£¬º¹Òº²»ÊÇ´¿´âµÄË®£¬ £¬£¬£¬£¬£¬£¬£¬ÎÒÃǽâ¾öÕâ¸öÄÑÌâ²»ÊÇÆ¾Ö¤±ðÈ˵ÄÏë·¨£¬ £¬£¬£¬£¬£¬£¬£¬Ò²²»ÊDZðÈ˵ÄÀíÂÛ£¬ £¬£¬£¬£¬£¬£¬£¬ÊÇÆ¾Ö¤ÈËÌ寤·ô×ÔÎÒ± £»£»£»£»£»£»£»£»¤µÄÐÄÀí»úÖÆ ¡£¡£¡£¡£¡£ÎÒÃÇÆÊÎöº¹Òºº¬ÓжàÖÖÒòËØ£¬ £¬£¬£¬£¬£¬£¬£¬º¹ÒºµÄÉøÍ¸Ñ¹ÊǵÈÉøµÄ£¬ £¬£¬£¬£¬£¬£¬£¬ºÍ×éÖ¯Òº¡¢Ï¸°ûÄÚÒºµÄÉøÍ¸Ñ¹Á¦ÊÇÏàµÈµÄ ¡£¡£¡£¡£¡£ÒÔÊǺ¹ÒºÁýÕÖÔÚÆ¤·ôÍâòÈ黯ÒÔºó£¬ £¬£¬£¬£¬£¬£¬£¬ÍêÈ«Æðµ½Ò»¸öÓë×éÖ¯ºÍϸ°ûÏàµÈµÄ×ÔÎÒ½»Á÷µÄ¹ØÏµ£¬ £¬£¬£¬£¬£¬£¬£¬º¹ÒºÊǶàÖÖÒòËØµÄÈÜÒº ¡£¡£¡£¡£¡£ÒÔÊÇÈ˳öÁ˺¹£¬ £¬£¬£¬£¬£¬£¬£¬Ë®Õô·¢ÁËʣϵÄÑΣ¬ £¬£¬£¬£¬£¬£¬£¬È«ÊÇÀë×Ó£¬ £¬£¬£¬£¬£¬£¬£¬¾ÍÊÇÕâ¸öÑÎÔÚÒºÌåÄÚÀï¾ÍÐγÉÁËÉøÍ¸Ñ¹ ¡£¡£¡£¡£¡£ÈôÊÇÊǵÍÉøµÄË®£¬ £¬£¬£¬£¬£¬£¬£¬ÔòÕâµÍÉøµÄÒºÌåʹÓÃÉøÍ¸Ñ¹µÄ¹ØÏµºÜ¿ì½øÈëµ½×éÖ¯¼äÒº£¬ £¬£¬£¬£¬£¬£¬£¬ËäȻʹÓõÍÉøÄܺܿ콫ˮËͽøÈ¥£¬ £¬£¬£¬£¬£¬£¬£¬µ«×éÖ¯¼äÊÇÓÉϸ°ûÐγɵļä϶£¬ £¬£¬£¬£¬£¬£¬£¬Ï¸°û¼ä϶ÄÚÀïÒ²¾Í³ÉÁ˵ÍÉø ¡£¡£¡£¡£¡£ÕâµÍÉøµÄ×éÖ¯¼äÒºÓÖ½øÈëÁËϸ°ûÄÚ£¬ £¬£¬£¬£¬£¬£¬£¬×îÖÕ°Ñϸ°ûÕÍ´ó£¬ £¬£¬£¬£¬£¬£¬£¬¹ý¶àÖ®ºó¾Í»áµ¼ÖÂϸ°ûÆÆËé(ͼ6) ¡£¡£¡£¡£¡£ÎÒÃÇÔø×ö¹ýʵÑ飬 £¬£¬£¬£¬£¬£¬£¬ÓÃÒ»¸öÀëÐÄ»ú£¬ £¬£¬£¬£¬£¬£¬£¬Ò»¸öºìϸ°û´àÐÔÊÔÑéµÄÊԹܣ¬ £¬£¬£¬£¬£¬£¬£¬×öÎÒÃÇҽѧÉϳ£×öµÄϸ°û´àÐÔʵÑé ¡£¡£¡£¡£¡£°Ñ»¯×±Æ··ÅÈëÀëÐÄ»úÀïÀëÐÄ£¬ £¬£¬£¬£¬£¬£¬£¬ÈÃË®ÏàÓÍÏàÊèÉ¢¿ª£¬ £¬£¬£¬£¬£¬£¬£¬ÔÙ°ÑË®ÏàÎü³öÀ´£¬ £¬£¬£¬£¬£¬£¬£¬°Ñºìϸ°û·ÅÈëË®ÏàÖУ¬ £¬£¬£¬£¬£¬£¬£¬ÈôÊǺìϸ°ûÆÆÁË£¬ £¬£¬£¬£¬£¬£¬£¬Õâ¸ö»¯×±Æ·¾ÍûÓб £»£»£»£»£»£»£»£»¤Ï¸°ûµÄ×÷Ó㬠£¬£¬£¬£¬£¬£¬£¬ÈôÊǺìϸ°ûûÓÐÆÆ¾ÍÓб £»£»£»£»£»£»£»£»¤Ï¸°ûµÄ×÷Óà ¡£¡£¡£¡£¡£Æ¾Ö¤Õâ¸ö½áÂÛ£¬ £¬£¬£¬£¬£¬£¬£¬Ðí¶à»¯×±Æ·²»¿ÉÂôÁË£¬ £¬£¬£¬£¬£¬£¬£¬ÓÉÓÚËü»á°Ñºìϸ°ûÕÍÆÆ ¡£¡£¡£¡£¡£ÕâÖÖ²½·¥Ê¹È¥Àë×ÓË®ÉøÈëÆ¤·ô£¬ £¬£¬£¬£¬£¬£¬£¬½ø¶øÔì³Éϸ°ûË®Ö×µ¼ÖÂÆ¤·ôÀÏ»¯£¬ £¬£¬£¬£¬£¬£¬£¬ÒÔÊÇÔ½Óû¯×±Æ·Æ¤·ô¾ÍÔ½ÈÝÒ×ÐàÂõ ¡£¡£¡£¡£¡£¶øÓÐЩÈËÓÉÓÚÆ¤·ô¾­³£½ÓÊÜÃÀÈÝ£¬ £¬£¬£¬£¬£¬£¬£¬ÌØÊâÈÝÒ×ËðÉËÖÁ¼¬²ã¡¢¿ÅÁ£²ã£¬ £¬£¬£¬£¬£¬£¬£¬ÒÔÊÇ˵ÕâÖÖÃÀÈÝÊÇÔ½ÃÀÈÝÔ½ÐàÂõ£¬ £¬£¬£¬£¬£¬£¬£¬±ØÐèͿĨÓÍÖ¬ºÍ·ÛÖÊ»¯×±Æ·ÕÚÑÚ£¬ £¬£¬£¬£¬£¬£¬£¬²»È»Æ¤·ôºÜÄÑ¿´ ¡£¡£¡£¡£¡ £»£»£»£»£»£»£»£»¯×±Æ·µÄµÍÉøË®Ïà¿´·¨ÊÇÍêÈ«¹ýʧµÄ£¬ £¬£¬£¬£¬£¬£¬£¬ÓÉÓÚËüµÄË®ÏàÒªÇóÖ»ÄÜÓÃÈ¥Àë×ÓË®À´°ü¹ÜËüµÄÒªÇó ¡£¡£¡£¡£¡£ËäÈ»ËüÖ®ÒÔÊÇÓÃÈ¥Àë×ÓË®ÉÐÓÐÒ»¸ö¼ÁÐ͵ÄÒªÇó£¬ £¬£¬£¬£¬£¬£¬£¬¿ÉÒÔʹ˪¼ÁÐͲ»É¢£¬ £¬£¬£¬£¬£¬£¬£¬ÓÐÀë×ӾͻáÓ°Ï컯ױƷµÄÎȹÌÐÔ ¡£¡£¡£¡£¡£

      zotyÖÐÅ·ÌåÓýƤ·ôÔÙÉú˪¼ÁµÄË®ÏàÊǵÈÉøµÄÒºÌ壬 £¬£¬£¬£¬£¬£¬£¬ÊÇÓÃÏʵÄÖ²Îï×éÖ¯ÒºÖÆ³ÉµÄ£¬ £¬£¬£¬£¬£¬£¬£¬Í¿ÔÚÆ¤·ôÉϼá³ÖÁËÆ¤·ôµÄÉúÌ¬ÉøÍ¸Ñ¹ ¡£¡£¡£¡£¡£
      ÁíÍ⣬ £¬£¬£¬£¬£¬£¬£¬ÎÒÃÇÓõÄÓÍÊÇ¿ÉÈÜÐÔÖ¬·¾Ëᣬ £¬£¬£¬£¬£¬£¬£¬ÕâÊÇ×îÒªº¦µÄÒ»µã£¬ £¬£¬£¬£¬£¬£¬£¬ÈôÊÇÊDz»¿ÉÈÜÐÔÖ¬·¾Ëᣬ £¬£¬£¬£¬£¬£¬£¬Ëü¾ÍÎÞ·¨ÉøÍ¸µ½Æ¤·ôÍâòµÄÊý²ãÖ®ÄÚ£¬ £¬£¬£¬£¬£¬£¬£¬ºÍ¿ÅÁ£²ãϸ°û±¬·¢Ð­Í¬± £»£»£»£»£»£»£»£»¤×÷Óà ¡£¡£¡£¡£¡£Ò²¿ÉÒÔ˵²»¿ÉÈÜÐÔÖ¬·¾ËáͿĨÔÚÆ¤·ôÉϲ»Í¸Æø£¬ £¬£¬£¬£¬£¬£¬£¬Ö»ÄÜÆðµ½¸ôÀëµÄ×÷Ó㬠£¬£¬£¬£¬£¬£¬£¬¶ø²»Í¸Æø¸ôÀëµÄ×÷ÓÃÏÖʵÉϾÍÏñÈ˺ã¾Ã²»ãåÔ¡Ò»Ñù ¡£¡£¡£¡£¡£ºã¾Ã²»ãåÔ¡µÄÈËΪʲôƤ·ôÀÏ»¯£¿£¿ £¿£¿£¿£¿£¿¾ÍÊÇÓÉÓÚËäÈ»ÊÇ×Ô¼º±¬·¢µÄÖ¬·¾ËáÔÚÆ¤·ôÉÏ£¬ £¬£¬£¬£¬£¬£¬£¬µ«³¤Ê±¼äµ¼ÖÂÐí¶à³ÁÔü·ÏÎïȺ¼¯£¬ £¬£¬£¬£¬£¬£¬£¬Ôì³ÉƤ·ô²»¿ÉºôÎü²»¿É´úл£¬ £¬£¬£¬£¬£¬£¬£¬²»¿É´úл¾Í»á±¬·¢Ðí¶à»¯Ñ§µÄËáÐÔ»ò¼îÐÔµÄÎïÖÊ£¬ £¬£¬£¬£¬£¬£¬£¬ÕâÖÖ²»¿ÉÈÜÐÔÖ¬·¾Ëáʱ¼ä³¤Á˾ͻᱬ·¢ÖÖÖÖ»¯Ñ§·´Ó¦£¬ £¬£¬£¬£¬£¬£¬£¬Ò²¾ÍÆÆËðÁËÆ¤·ôµÄPHƽºâ£¬ £¬£¬£¬£¬£¬£¬£¬¸üÖ÷ÒªµÄÊÇÓ°ÏìÁËÆ¤·ô¿ÅÁ£²ãϸ°ûµÄÔÙÉú´úлÄÜÁ¦ºÍºÏ³É´úлÄÜÁ¦ ¡£¡£¡£¡£¡£
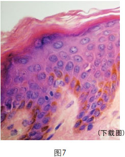
      ÌìÏÂÉÏ»¯×±Æ·ÎÞÂÛÅä·½ÔõÑù£¬ £¬£¬£¬£¬£¬£¬£¬ÕâЩÍâÔ´ÐÔ»¯×±Æ·¶¼ºÜÄѽøÈëµ½ÕæÆ¤ ¡£¡£¡£¡£¡£Ö®ÒÔÊÇÕâô˵£¬ £¬£¬£¬£¬£¬£¬£¬ÊÇÓÉÓÚÔÚ»ùÄÚÇé°û²ãÏÂÃæÓÐÒ»¸öĤ£¨Í¼7£©£¬ £¬£¬£¬£¬£¬£¬£¬Õâ¸öĤ²»µ«ÊÇΪÁË±íÆ¤ÓëÕæÆ¤µÄÅþÁ¬£¬ £¬£¬£¬£¬£¬£¬£¬ÕâÒ²Êǽâ¾öƤ·ôÆ÷¹ÙÔÙÉú»Ø¸´µÄÒ»¸ö×îÖ÷ÒªµÄÊÖÒÕ»·½Ú ¡£¡£¡£¡£¡£Õâ¸ö»ùµ×Ĥ¾ßÓаëͨ͸ÐÔ£¬ £¬£¬£¬£¬£¬£¬£¬ÔÚÆ¤·ôºÍ¶ÏÖ¸ÔÙÉúÖÎÁÆÊÖÒÕÉÏ£¬ £¬£¬£¬£¬£¬£¬£¬ÎÒÃÇ·ÂÉúÁËÕâ¸öĤ£¬ £¬£¬£¬£¬£¬£¬£¬Õâ²ãĤµÄÏÂÃæÓÐѪ¹Ü¡¢Éñ¾­£¬ £¬£¬£¬£¬£¬£¬£¬µ«Ñª¹Ü¹ý²»ÁËÕâ²ãĤ ¡£¡£¡£¡£¡£ÈôÊÇÄãµÄƤ·ôÒ»µ©³öѪ£¬ £¬£¬£¬£¬£¬£¬£¬¾Í˵Ã÷ÊÇÕâ²ãÄ¤ÆÆÁË ¡£¡£¡£¡£¡£ÎÒÃÇ¿´µ½µÄѪ˿£¬ £¬£¬£¬£¬£¬£¬£¬¶¼ÊÇÔÚ»ùµ×Ĥ֮Ïµģ¬ £¬£¬£¬£¬£¬£¬£¬³ý·ÇÒì³£µÄѪ˿£¬ £¬£¬£¬£¬£¬£¬£¬ÓÐЩ²¡±äµÄ¿ÉÒÔÍ»³öµ½»ùµ×Ĥ֮ÉÏ ¡£¡£¡£¡£¡£Õý³£µÄÐÄÀíÇéÐÎÏ£¬ £¬£¬£¬£¬£¬£¬£¬Ñª¹Ü¶¼ÔÚ»ùµ×ĤÏ£¬ £¬£¬£¬£¬£¬£¬£¬½ºÔ­ÏËάҲÔÚ»ùµ×ĤÏ£¬ £¬£¬£¬£¬£¬£¬£¬ÏËάÎÞ·¨Í¨¹ý£¬ £¬£¬£¬£¬£¬£¬£¬Î¨Ò»ÄÜͨ¹ýµÄÊÇÉñ¾­Ä©ÉÒ ¡£¡£¡£¡£¡££¨Í¼8£©Éñ¾­ÑÓÉìµ½»ùµ×Ĥ£¬ £¬£¬£¬£¬£¬£¬£¬»ùµ×ĤÍâÃæÉÐÓÐÒ»²ãĤ°üÈÆÔÚÉñ¾­ÍâÃæ£¬ £¬£¬£¬£¬£¬£¬£¬Ò»µ«´©¹ýÁËÕâ¸öĤ¾Í³ÉÁËûÓÐĤ°üÈÆµÄÏËά£¬ £¬£¬£¬£¬£¬£¬£¬½ÐÉñ¾­ÏËάµÄ̻¶¶Ë£¬ £¬£¬£¬£¬£¬£¬£¬ÒÔÊÇĤÉÏÃæ³ýÈ¥±íƤµÄËÄ´ó²ã£¬ £¬£¬£¬£¬£¬£¬£¬ÉÐÓÐһЩÎÞ°üĤµÄÉñ¾­Ä©ÉÒÏËά ¡£¡£¡£¡£¡£Òò´Ë´¥ÃþµÄʱ¼ä»á·ºÆð¸ÐÊÜ ¡£¡£¡£¡£¡£


     ¡¾ÔÙÉúÎïÖʵ¼ÈëÓëÆ¤·ôÔÙÉúµÄ´úл¡¿
     Ƥ·ô»ùµ×ĤµÄÖ÷ÒªÐÔÔÚÓÚËüÓаëͨ͸ÐÔ£¬ £¬£¬£¬£¬£¬£¬£¬ÕâÊÇÆ¤·ôÆ÷¹ÙÕæÆ¤¶ÔÍâºôÎüµÄÖ÷ҪͨµÀÖ®Ò»£¬ £¬£¬£¬£¬£¬£¬£¬Ò²ÊÇÈËÌåͨ¹ýƤ·ôºôÎüµÄ;¾¶ ¡£¡£¡£¡£¡£ÈËÌåµÄºôÎüÓÐÁ½ÖÖ·½·¨£¬ £¬£¬£¬£¬£¬£¬£¬Ò»ÖÖÊǷεĺôÎü£¬ £¬£¬£¬£¬£¬£¬£¬Ò»ÖÖÊÇÆ¤·ô´úлͨµÀµÄºôÎü ¡£¡£¡£¡£¡£Æ¤·ôÑõµÄºôÎü´ó¶¼ÊÇͨ¹ýĤµÄͨµÀ£¨ËüÊǸö¼ä϶ͨµÀ£©£¬ £¬£¬£¬£¬£¬£¬£¬µ±½Ó´¥Ñõ·Ö×Óʱ£¬ £¬£¬£¬£¬£¬£¬£¬»ùµ×ĤµÄ¼ä϶¾ÍÀ©´óÁË£¬ £¬£¬£¬£¬£¬£¬£¬Ñõ·Ö×ӾͽøÀ´ÁË ¡£¡£¡£¡£¡£¸ß¿ÕÌøÉ¡µÄÈË£¬ £¬£¬£¬£¬£¬£¬£¬Ëû¿ÉÒÔÔڸ߿Õʱ°ÑƤ·ôÎüÊÕÑõµÄÍâò»ýÔöÌí£¬ £¬£¬£¬£¬£¬£¬£¬´Ó¶øÔöÌíÆ¤·ôµÄº¬ÑõÁ¿£¬ £¬£¬£¬£¬£¬£¬£¬¾ÍÊÇÓÉÓÚ°ë͸Ĥ¶ÔÑõ¾ßÓÐͨ͸ÐÔ ¡£¡£¡£¡£¡ £»£»£»£»£»£»£»£ÉÐÓоÍÊÇÆ¤·ôµÄµçºÉµ¼Ïò£¬ £¬£¬£¬£¬£¬£¬£¬µçºÉµ¼ÏòÊǺÜÊÇÖ÷ÒªµÄ£¬ £¬£¬£¬£¬£¬£¬£¬¾ÍÏñ³¬Éù²¨µÈ£¬ £¬£¬£¬£¬£¬£¬£¬¿ÉÊÇÕâÀï²¢²»ÊÇʲô¶¼¿ÉÒÔͨ¹ý£¬ £¬£¬£¬£¬£¬£¬£¬Ëü×îÖ÷ÒªµÄÊÇʹÄÇÖÖûÓеçºÉ»òµçºÉÏàͬµÄͨ¹ý£¬ £¬£¬£¬£¬£¬£¬£¬ÈκÎÓеçºÉµÄ¶¼ÐèҪѡÔñһϠ¡£¡£¡£¡£¡£ºÃ±È˵½ºÔ­ÂѰף¬ £¬£¬£¬£¬£¬£¬£¬ÎÒÃÇÔø×ö¹ýÊÔÑ飬 £¬£¬£¬£¬£¬£¬£¬¿´Äܲ»¿É°ÑË®½âµÄ½ºÔ­ÂѰ׵¼ÈëÆ¤Ï£¬ £¬£¬£¬£¬£¬£¬£¬¿É×îºóЧ¹ûÊDz»¹ÜÊÇÓúÎÖÖÒªÏòµ¼È룬 £¬£¬£¬£¬£¬£¬£¬¶¼Ã»Óв½·¥Ê¹Æä½øÈ룬 £¬£¬£¬£¬£¬£¬£¬Õâ˵Ã÷Ƥ·ôËü²»½ÓÊÜÕâÖÖÎïÖÊ ¡£¡£¡£¡£¡£ËäÈ»½ºÔ­ÂѰ××÷Ϊ´ó·Ö×ÓµÄÂѰ×Ò²²»¿ÉÄܱ»µ¼½øÈ¥£¬ £¬£¬£¬£¬£¬£¬£¬ÈôÕæµ¼½øÈ¥£¬ £¬£¬£¬£¬£¬£¬£¬Õâ¾Í³ÉÁËÒìÌåÂѰף¬ £¬£¬£¬£¬£¬£¬£¬¶ÔÈËÌåÓк¦ ¡£¡£¡£¡£¡£ÎÒÃÇÆÊÎöË®½âµÄ½ºÔ­ÂѰ×Ö®ÒÔÊǵ¼²»½øÈ¥£¬ £¬£¬£¬£¬£¬£¬£¬¿ÉÄÜÊÇÓÉÓÚÂѰ×ÖʵÄ×é³É½á¹¹°±»ùËáµÄÔµ¹ÊÔ­ÓÉ£¬ £¬£¬£¬£¬£¬£¬£¬°±»ùËáÔÚijÖÖÇéÐÎÏÂÊÇ´øµçºÉµÄ£¬ £¬£¬£¬£¬£¬£¬£¬Õâ¸öË®½â½ºÔ­ÂѰ×Òò´ËÒ²´øµçºÉ£¬ £¬£¬£¬£¬£¬£¬£¬²¢ÇÒ¿ÉÄÜÓëÕâ²ãĤÏàÑ¡ÔñµÄµçºÉÏà·´£¬ £¬£¬£¬£¬£¬£¬£¬ÒÔÊDz»¿ÉÄܽøÈ뵽Ƥ·ôÄÚÀïÈ¥£¬ £¬£¬£¬£¬£¬£¬£¬×ÝÈ»ÎÒÃÇÓøßѹÑõӲѹµÄÒªÁìÒ²²»¿É ¡£¡£¡£¡£¡£ÒÔÊÇÕâ²ãĤÔÚÕæÆ¤µÄÃÀÈÝÉϺÜÒªº¦£¬ £¬£¬£¬£¬£¬£¬£¬ÒªÏëµÖ´ïƤ·ôÆ÷¹ÙÔÙÉú»Ø¸´µÄЧ¹û£¬ £¬£¬£¬£¬£¬£¬£¬Æ¤·ôÓªÑøÎïÖʱØÐèµÃͨ¹ý»ùµ×Ĥ½øÈ뵽Ƥ·ôÄÚÀïÈ¥ ¡£¡£¡£¡£¡£
     zotyÖÐÅ·ÌåÓýÔÙÉúÎïÖÊÄܲ»¿É͸½øÆ¤·ô£¿£¿ £¿£¿£¿£¿£¿ËäÈ»ÄÜ£¬ £¬£¬£¬£¬£¬£¬£¬ÎÒÃÇ×ö¹ýÊÔÑ飬 £¬£¬£¬£¬£¬£¬£¬ÔÚÑÛ´üµ¼ÈëÔÙÉúÎïÖÊ£¬ £¬£¬£¬£¬£¬£¬£¬Ã¿´Î¶¼ÄÜÏÔ×ŵؿ´µ½ÑÛ´ü±¥ÂúÆðÀ´ÁË£¬ £¬£¬£¬£¬£¬£¬£¬Õâ˵Ã÷ÄÇЩÔÙÉúÎïÖʱ»µ¼Èë½øÈ¥ÁË ¡£¡£¡£¡£¡£±íƤÏÂÊÇÕæÆ¤£¬ £¬£¬£¬£¬£¬£¬£¬ÎÒÃǶÔÕæÆ¤µÄÔÙÉú»Ø¸´Ö÷ÒªÓÐÁ½´óÄ¿µÄ£¬ £¬£¬£¬£¬£¬£¬£¬Ò»¸öÄ¿µÄÊǰѸ½¼þµÄ¹¦Ð§¸üУ¬ £¬£¬£¬£¬£¬£¬£¬ÁíÒ»¸ö¾ÍÊÇÊ¹ÕæÆ¤³ÉÏËάϸ°ûÔÙÉú¼°ÏËά±äÄêÇᣬ £¬£¬£¬£¬£¬£¬£¬É¢×´ÏËά˿³ÉÊø£¬ £¬£¬£¬£¬£¬£¬£¬Í¬Ê±Ìî³ä×éÖ¯ ¡£¡£¡£¡£¡£ÈçͼËùʾ£¨Í¼9¡¢Í¼10£©£¬ £¬£¬£¬£¬£¬£¬£¬¸½¼þ°üÀ¨º¹ÏÙºÍÆ¤Ö¬ÏÙ£¬ £¬£¬£¬£¬£¬£¬£¬º¹ÏÙÊÇ

º¹ÏÙÉøÍ¸Ï¸°û ¡£¡£¡£¡£¡£Ã«ÄÒϸ°ûÊÇ´ÓÂÑÅß×îÏȵÄÒ»¸öеÄϸ°û£¬ £¬£¬£¬£¬£¬£¬£¬ÊÇÒ»¸ö×ÔÁ¦µÄ¼Ò×å ¡£¡£¡£¡£¡£È˵ÄÉíÉÏÓÐÈýÖÖ룺¶Ìë¡¢³¤Ã«ºÍë¥Ã«£¬ £¬£¬£¬£¬£¬£¬£¬Í··¢Îª³¤Ã« ¡£¡£¡£¡£¡£´ÓÅß̥ʱÆÚ×îÏÈ£¬ £¬£¬£¬£¬£¬£¬£¬Éú³¤Ã«·¢µÄϸ°û¾ÍÓÐÈý¸ö²î±ðÔ­·¢Ï¸°û£¬ £¬£¬£¬£¬£¬£¬£¬Ò»¸öÊdz¤³¤Ã«µÄ£¬ £¬£¬£¬£¬£¬£¬£¬Ò»¸öÊÇÊÇ·ÇëµÄ£¬ £¬£¬£¬£¬£¬£¬£¬Ò»¸öÊdz¤ë¥Ã«µÄ£¬ £¬£¬£¬£¬£¬£¬£¬ë¥Ã«¼´º¹Ã« ¡£¡£¡£¡£¡£ËüÃDZ¬·¢µÄʱ¼ä²î±ð£¬ £¬£¬£¬£¬£¬£¬£¬¶ÌëºÍ³¤Ã«ÊÇÀ´×ÔÓÚ×îԭʼµÄÂÑÅߣ¬ £¬£¬£¬£¬£¬£¬£¬¶øº¹Ã«¿ÉÀ´×ÔÓÚ±íÆ¤¸Éϸ°û£¬ £¬£¬£¬£¬£¬£¬£¬Ò²¾ÍÊǽÇÂѰ×19ÐͼÒ×å ¡£¡£¡£¡£¡£ÒÔÊÇ´óÃæ»ýÉî¶ÈÉÕÉËʱÓúºÏÒÔºó¶¼Äܳ¤º¹Ã«£¬ £¬£¬£¬£¬£¬£¬£¬µ«³¤²»Á˳¤Ã«Ò²³¤²»Á˶Ìë ¡£¡£¡£¡£¡£ÔÚÕâÀïÒ²¸æË߸÷ÈË£¬ £¬£¬£¬£¬£¬£¬£¬ÌÂÈûÍÑ·¢Ó¦¸ÃÔÚÈË»¹Ã»ÓÐÍÑÂäÍ··¢Ç°¼ÓÒÔ¿ØÖÆ£¬ £¬£¬£¬£¬£¬£¬£¬²»ÈÃÍ··¢ÍÑÂ䣬 £¬£¬£¬£¬£¬£¬£¬Ò»µ©Ã«ÈéÍ·È«ÍÑÂäÁ˾ͳ¤²»³öÃæ·¢À´ÁË£¬ £¬£¬£¬£¬£¬£¬£¬Äܳ¤³öµÄ²»¹ýÊÇÀàËÆÓÚ¶ÌëµÄһЩë¥Ã«(ͼ11) ¡£¡£¡£¡£¡£ÕâÊÇÓÉÓÚÔÚÔÙÉúʱ£¬ £¬£¬£¬£¬£¬£¬£¬Ã«·¢ÊÇʹÓÃë·¢Àï±ßÖü´æµÄÐÅÏ¢»ú¹Ø¡ª¡ªÒþÎÑÀ´ÔÙÉúµÄ£¬ £¬£¬£¬£¬£¬£¬£¬Ã«ÒþÎÑÀïÖü´æÓжÌëºÍë¸ÉµÄÐÅÏ¢£¬ £¬£¬£¬£¬£¬£¬£¬ÈÎºÎÆ¤·ôÄÚÀï¶¼ÓÐÕâÖÖÐÅÏ¢ ¡£¡£¡£¡£¡£ÓÉÓÚÈ˵Ľø»¯Ôì³ÉÓÐЩ²¿Î»²»³¤Ã«£¬ £¬£¬£¬£¬£¬£¬£¬ÓÐЩ³¤Ã«£¬ £¬£¬£¬£¬£¬£¬£¬Õâ¸öëÒþÎÑÊÇÓÉÓÚÈ˵Ľø»¯ËùÐγɵģ¬ £¬£¬£¬£¬£¬£¬£¬µ«ÖÖ×å²î±ð£¬ £¬£¬£¬£¬£¬£¬£¬Ã«ÒþÎÑÔòÓÐËù²î±ð£¬ £¬£¬£¬£¬£¬£¬£¬¾ÍÏñÃÀ¹úÈËÉíÉÏÓÐÐí¶à룬 £¬£¬£¬£¬£¬£¬£¬µ«ÄÇÒ²ÊǶÌë¶ø²»Êdz¤Ã« ¡£¡£¡£¡£¡£ÔÛÃÇÑÇÖÞÈËÆ¤·ô½ÏÁ¿Æ½»¬£¬ £¬£¬£¬£¬£¬£¬£¬×ØÉ«ÈË¡¢ºÚÈËÒ²½ÏÁ¿Æ½»¬£¬ £¬£¬£¬£¬£¬£¬£¬ÊÇÓÉÓÚÒþÎѽÏÁ¿Èõ£¬ £¬£¬£¬£¬£¬£¬£¬²»³¤ÄÇô³¤µÄë ¡£¡£¡£¡£¡£ÎÒÃÇÔøÑо¿¹ýÔõôÄÜÈùâͺͷ¶¥³¤³öϸ룬 £¬£¬£¬£¬£¬£¬£¬µ±³õÎÒÃǰÑÿ¸öϸ°û¶¼ÄóöÀ´£¬ £¬£¬£¬£¬£¬£¬£¬¿´ÊÇÄÄÒ»ÖÖϸ°û³¤µÄ£¬ £¬£¬£¬£¬£¬£¬£¬·¢Ã÷¶¼ÊÇëÒþÎѳ¤µÄ ¡£¡£¡£¡£¡£ËäȻһµ©Ê§È¥ÁËëÄҾͲ»¿ÉÔÙ³¤Í··¢ÁË£¬ £¬£¬£¬£¬£¬£¬£¬¿ÉÊÇֻҪëÒþÎÑ»¹ÔÚ£¬ £¬£¬£¬£¬£¬£¬£¬¾ÍÉÐÓг¤Ã«µÄ¹¦Ð§£¬ £¬£¬£¬£¬£¬£¬£¬Ã¿Ò»¸öÒþÎѶ¼Äܳ¤³öÒ»¸öë¥Ã«À´ ¡£¡£¡£¡£¡£Éç»áÉÏijЩÉú·¢²úÆ·¾ÍÊǴ̼¤Õâ¸öÒþÎѵÄϸ°û£¬ £¬£¬£¬£¬£¬£¬£¬µ«ÕâÖִ̼¤Ëù³¤³öµÄëºÜųÈõ£¬ £¬£¬£¬£¬£¬£¬£¬Ò»Åö¾ÍµôÁË£¬ £¬£¬£¬£¬£¬£¬£¬Ò»µ©Ã»Óд̼¤×÷ÓÃÁË£¬ £¬£¬£¬£¬£¬£¬£¬Õâë·¢¾Í²»³¤ÁË ¡£¡£¡£¡£¡£ÎÒÃÇÔÚÉÕÉËÖÎÁÆÖÐÒ²·¢Ã÷£¬ £¬£¬£¬£¬£¬£¬£¬Ö»ÒªÓÐÆ¤·ô±¬·¢¾ÍÓÐë¥Ã«£¬ £¬£¬£¬£¬£¬£¬£¬ËäÈ»ÊÖÕÆ³ýÍ⣬ £¬£¬£¬£¬£¬£¬£¬ÊÖÕÆÊÇûÓÐë¥Ã«µÄ£¬ £¬£¬£¬£¬£¬£¬£¬ÕâÊÇÒÅ´«µÄÌØÕ÷ ¡£¡£¡£¡£¡£ÓÐÈËÎÊÄÐÐÔµÄ÷×ëÊÇʲô룿£¿ £¿£¿£¿£¿£¿Õâ¸öëÓжÌëµÄÖÖÀ࣬ £¬£¬£¬£¬£¬£¬£¬Ò²Óг¤Ã«µÄÖÖÀ࣬ £¬£¬£¬£¬£¬£¬£¬Ö÷ÒªÊdz¤Ã«ÖÖÀà ¡£¡£¡£¡£¡£

      Ƥ·ô·Å´óÒÔºó¿ÉÒÔ¿´µ½Ðí¶àë¿×£¬ £¬£¬£¬£¬£¬£¬£¬ËæÊ±¶¼¿ÉÄܱ¬·¢×ª±ä£¬ £¬£¬£¬£¬£¬£¬£¬ÓÃһЩÀ©Ã«¿×µÄ¡¢É¢Ã«¿×µÄÒªÁìÃÀÈÝÊǺÜÊDz»¿ÆÑ§µÄ£¬ £¬£¬£¬£¬£¬£¬£¬ÊÇÆÆËðÆ¤·ô¹¦Ð§µÄ£¬ £¬£¬£¬£¬£¬£¬£¬Ó¦¸ÃÈÃÆ¤·ô×ÔÉíµ÷Àí ¡£¡£¡£¡£¡£ÕæÆ¤µÄÁíÒ»¸ö¹¦Ð§ÊdzÉÏËάϸ°ûµÄ¹¦Ð§£¬ £¬£¬£¬£¬£¬£¬£¬£¨Í¼12£©³ÉÏËάϸ°ûÖ÷Òª¹¦Ð§ÊǺϳÉÏËά£¬ £¬£¬£¬£¬£¬£¬£¬Í³öÏËά£¬ £¬£¬£¬£¬£¬£¬£¬Õ³ÔÚÒ»Æð³ÉΪÏËÎ¬Êø ¡£¡£¡£¡£¡£Ëæ×ÅÄêËêµÄÔöÌí£¬ £¬£¬£¬£¬£¬£¬£¬²»µ«±íƤÀÏ»¯£¬ £¬£¬£¬£¬£¬£¬£¬ÆäÕæÆ¤ÄÚÒ²ÊǽºÔ­ÏËάÖð½¥ïÔÌ­Ö±ÖÁÏûÊÅ ¡£¡£¡£¡£¡£³ÉÏËάϸ°ûÄܱ¬·¢ÈýÖÖÏËά£¬ £¬£¬£¬£¬£¬£¬£¬Ò»ÖÖÊǽºÔ­ÏËά£¬ £¬£¬£¬£¬£¬£¬£¬Ò»ÖÖÊǵ¯Á¦ÏËά£¬ £¬£¬£¬£¬£¬£¬£¬ÉÐÓÐÒ»ÖÖÊÇÍø×´ÏËά ¡£¡£¡£¡£¡£ÈôÊÇÊÇÒ»¸öÄêÇáµÄ¹¦Ð§ºÃµÄϸ°û±¬·¢µÄË¿£¬ £¬£¬£¬£¬£¬£¬£¬¾ÍÊÇǿ׳µÄÊø£¬ £¬£¬£¬£¬£¬£¬£¬ÕâÑù¶à¸öÊøÔÚÆ¤·ôÄÚÀ £¬£¬£¬£¬£¬£¬£¬Æ¤·ô¾Í±¥ÂúºÍÓе¯ÐÔÁË ¡£¡£¡£¡£¡£¿ÉÊÇÒ²²»ÊǹâÓÐË¿¾ÍÐÐÁË£¬ £¬£¬£¬£¬£¬£¬£¬ÀýÈç°ÌºÛ£¬ £¬£¬£¬£¬£¬£¬£¬ÄǾÍÊÇÓÉÓÚÔÓÂÒÎÞÕµĽºÔ­ÂѰ×˿̫¶àÁË£¬ £¬£¬£¬£¬£¬£¬£¬Ã»ÓнáµÞ×éÖ¯ÐÄÀí½á¹¹¶àÓàµÄ¿Õ¼äÁË£¬ £¬£¬£¬£¬£¬£¬£¬½ºÔ­ÂѰ×Ë¿½»Ö¯£¬ £¬£¬£¬£¬£¬£¬£¬¾ÍÐγɽÏÓ²µÄ°ÌºÛ ¡£¡£¡£¡£¡£±¬·¢½ºÔ­ÂѰ×Á¿µÄ¼¸¶à£¬ £¬£¬£¬£¬£¬£¬£¬¾ÍÔÚÓÚÕæÆ¤ÄÚÀïÆäËû½áµÞ×éÖ¯µÄµ÷¿ØºÍÉÏÆ¤Ï¸°ûµÄµ÷¿Ø£¬ £¬£¬£¬£¬£¬£¬£¬Ò»¸öµ÷¿ØÊÇ¿¿ÉÏÆ¤Ï¸°ûºÍ³ÉÏËάϸ°ûÖ®¼äµÄ¹ØÏµµ÷¿Ø£¬ £¬£¬£¬£¬£¬£¬£¬ÁíÒ»¸öµ÷¿ØÊÇ¿¿½áµÞ×éÖ¯±£´æÆäËûϸ°ûÄÚÀïµÄµ÷¿Ø ¡£¡£¡£¡£¡£½áµÞ×éÖ¯µÄµ÷¿ØÖ÷ÒªÊÇÈËÐàÂõÁËÒԺ󱬷¢ÕâЩÏËάµÄÁ¿ïÔÌ­ ¡£¡£¡£¡£¡£ÎÒÃÇÕâÀïÖ÷Ҫ˵˵ÉÏÆ¤Ï¸°ûºÍ³ÉÏËάϸ°ûµÄ¹ØÏµ ¡£¡£¡£¡£¡£Õý³£Æ¤·ôµÄϸ°û½á¹¹±ÈÀýÊÇ£ºÒ»¸öÉÏÆ¤Ï¸°û±ÈËĸöÏËάϸ°û£¬ £¬£¬£¬£¬£¬£¬£¬Ò»±ÈËÄ ¡£¡£¡£¡£¡£È˵Äñ£ºÛ×éÖ¯ÊÇÒ»¸öÉÏÆ¤Ï¸°û±È¾Å¸öÒÔÉϽºÔ­ÏËάϸ°û ¡£¡£¡£¡£¡£³¤°ÌºÛµÄÈ˾ÍÊǽºÔ­ÏËάϸ°ûÔöÉú£¬ £¬£¬£¬£¬£¬£¬£¬³¤Î®ËõÐ԰̺۵ÄÈËÊǵ¯Á¦ÏËάϸ°ûÔöÉú£¬ £¬£¬£¬£¬£¬£¬£¬²»ÊǽºÔ­ÏËάϸ°ûÔöÉú ¡£¡£¡£¡£¡£¿ÉÊDz»¹ÜƤ·ôÓÐûÓа̣¬ £¬£¬£¬£¬£¬£¬£¬¶¼·ºÆðÉÏÆ¤Ï¸°ûºÍÏËάϸ°ûÒ»±ÈÊ®¼¸ÒÔÉϵĹØÏµ£¬ £¬£¬£¬£¬£¬£¬£¬Ò»¸öÔöÉúÐ԰̺ÛÊÇÒ»±È¶þÊ®µÄ¹ØÏµ£¬ £¬£¬£¬£¬£¬£¬£¬Ò²¾ÍÊÇÒ»¸öÉÏÆ¤Ï¸°ûÅäÉ϶þÊ®¸öÏËάϸ°û£¬ £¬£¬£¬£¬£¬£¬£¬ÄǾÍÊÇÕý·²ÈËÆ¤·ôÐàÂõµÄÔµ¹ÊÔ­ÓÉ ¡£¡£¡£¡£¡£
      ÉÏÊöÄÚÈÝ˵Ã÷ÔÙÉú»Ø¸´Ö÷ÒªµÄÊÇÒª»Ö¸´ÆäƤ·ôÕý³£µÄÐÄÀí¹¦Ð§ ¡£¡£¡£¡£¡£Õý·²ÈËµÄÆ¤·ôÐàÂõÁË£¬ £¬£¬£¬£¬£¬£¬£¬Òâζ×ÅËûƤ·ôµÄÐí¶à¹¦Ð§È±Ê§ÁË»òÍË»¯ÁË ¡£¡£¡£¡£¡£Òò´ËzotyÖÐÅ·ÌåÓýƤ·ôÔÙÉú±ØÐè¿ØÖÆÏ¸°û£¬ £¬£¬£¬£¬£¬£¬£¬ÈÃϸ°ûǿ׳£¬ £¬£¬£¬£¬£¬£¬£¬»Ö¸´Õý³£ÐÄÀí¹¦Ð§ ¡£¡£¡£¡£¡£ÎÒÃÇÔÚʵ¼ùÖÐ¾ÍÆô¶¯Á˽ÇÂѰ×Ê®¾ÅÐ͸Éϸ°û£¬ £¬£¬£¬£¬£¬£¬£¬ËäȻҲ¿ÉÒÔÆô¶¯½ÇÂѰ×Ê®¾ÅÐÍÒÔϵÄϸ°û ¡£¡£¡£¡£¡£ÎÒÃÇÊ×ÏÈ°Ñ±íÆ¤»ùµ×²ãϸ°ûÆô¶¯ÆðÀ´£¬ £¬£¬£¬£¬£¬£¬£¬Ê¹Ëü¿ÉÒÔÔöÌíÉúÃü»îÁ¦£¬ £¬£¬£¬£¬£¬£¬£¬ÖØÐÞ£¬ £¬£¬£¬£¬£¬£¬£¬Í¬Ê±³ÉÏËάϸ°ûÒ²¸üР¡£¡£¡£¡£¡£Ò»¸ö90ËêµÄÀÏÈË£¬ £¬£¬£¬£¬£¬£¬£¬»ùÄÚÇé°ûÖ»ÓÐ5%ÊÇÓй¦Ð§µÄ ¡£¡£¡£¡£¡£ÈËÒ»µ©ÐàÂõÁË£¬ £¬£¬£¬£¬£¬£¬£¬Ï¸°û¾ÍÄÑÒÔÔÙÉúµ½×ã¹»µÄÊýÄ¿£¬ £¬£¬£¬£¬£¬£¬£¬ÒÔÊÇÒ»¶¨Òª°ü¹ÜÔÙÉúÎïÖʵÄÁ¿£¬ £¬£¬£¬£¬£¬£¬£¬È·±£Ï¸°ûµÄ¹¦Ð§ ¡£¡£¡£¡£¡£Ò»Ñùƽ³£À´Ëµ£¬ £¬£¬£¬£¬£¬£¬£¬³ÉÏËάϸ°ûµÄ¹¦Ð§£¬ £¬£¬£¬£¬£¬£¬£¬Ëæ×ÅÄêËêµÄÔöÌí»á´úлµÍÏ£¬ £¬£¬£¬£¬£¬£¬£¬Õâ¸öµÍÏÂÖ¸µÄÊDZ¬·¢ÏËάµÄËÙÂʼõÂý¡¢±¬·¢µÄÁ¿ïÔÌ­£¬ £¬£¬£¬£¬£¬£¬£¬±¬·¢µÄ½ºÔ­ÏËά²»¿ÉÊø ¡£¡£¡£¡£¡£Ò»¸öÕý³£Ï¸°û±¬·¢µÄÏËάÈç×óͼËùʾ(ͼ13)£¬ £¬£¬£¬£¬£¬£¬£¬Ò»¸öÐàÂõµÄϸ°û±¬·¢µÄÏËάÈçÓÒͼËùʾ ¡£¡£¡£¡£¡££¨Í¼14£©Õâ¸öÐàÂõµÄϸ°û±¬·¢µÄË¿ÊÇÔÓÂÒÎÞÕµģ¬ £¬£¬£¬£¬£¬£¬£¬Ã»Óе¯Á¦£¬ £¬£¬£¬£¬£¬£¬£¬ÓÖÉ¢ÓÖÉÙ ¡£¡£¡£¡£¡£ÈËÀÏÁË£¬ £¬£¬£¬£¬£¬£¬£¬ÔÚϸ°ûÀﱬ·¢µÄÔ­ÏËά


¾ÍÔÓÂÒÎÞÕ£¬ £¬£¬£¬£¬£¬£¬£¬³ÉÏËάϸ°ûͳöÀ´µÄÏËάҲ¾Í²»¿ÉÊøÁË ¡£¡£¡£¡£¡£ÒÔÊÇËûµÄƤ·ô×éÖ¯ÄÚÀï¾ÍÊÇÆÓªµÄ£¬ £¬£¬£¬£¬£¬£¬£¬Æ¤·ô¾Í²»½ôÖ ¡£¡£¡£¡£¡£ÎÒÃÇÔÙÉúÎïÖʵĹ¦Ð§¾ÍÊÇÒª°ÑÕâÖÖϸ°û²»Õý³£µÄ¹¦Ð§¾ÀÕý¹ýÀ´ ¡£¡£¡£¡£¡£ÎÒÃÇÒªÔöÌíϸ°ûµÄ»îÐÔ ¡£¡£¡£¡£¡£Æ¤·ôÕæÆ¤µÄ±¥Âúˮƽ£¬ £¬£¬£¬£¬£¬£¬£¬ÊÇ¿¿³ÉÏËάϸ°û»îÁ¦µÄÔöÇ¿À´ÊµÏÖµÄ ¡£¡£¡£¡£¡£ÔÚ»îÁ¦Ã»ÓÐÔöǿ֮ǰÏȰѱ¬·¢µÄÏËά³ÉÊø£¬ £¬£¬£¬£¬£¬£¬£¬Ò»±ß³ÉÊø£¬ £¬£¬£¬£¬£¬£¬£¬Ò»±ß¸üР¡£¡£¡£¡£¡£ÕâÑù¾Í·ºÆðÒ»¸ö¼á³ÖÄêÇá»Ø¸´×´Ì¬ ¡£¡£¡£¡£¡£Õâ¸öƤ·ôÔÙÉú»Ø¸´µÄʱ¼äÎÊÌâÉæ¼°´úлʱ¼äÎÊÌâ ¡£¡£¡£¡£¡£±íƤµÄ´´ÉËÐÔÐÞ¸´ËÙÂʿ죬 £¬£¬£¬£¬£¬£¬£¬Ò»Ñùƽ³£7ÌìÐÞ¸´Íê³É ¡£¡£¡£¡£¡£Ò»¸öÕý·²ÈËµÄ±íÆ¤ÐÄÀí´úл£¬ £¬£¬£¬£¬£¬£¬£¬ÔòÊÇ7ÌìÒ»²ã£¬ £¬£¬£¬£¬£¬£¬£¬»ùµ×²ãµ½½ÇÖʲãÊÇ30²ãϸ°û£¬ £¬£¬£¬£¬£¬£¬£¬ÈýÆß¶þ°ÙһʮÌì ¡£¡£¡£¡£¡£Ò»¸öÍêȫɹºÚµÄÈ˾­ÓÉ210Ìì¿ÉÒԻظ´»ØÔ­À´µÄÑÕÉ« ¡£¡£¡£¡£¡£Æ¤·ôÍâòµÄ»ÆºÖ°ß¡¢ÍíÄê°ßÎÒÃǶ¼¿ÉÒÔ½â¾ö£¬ £¬£¬£¬£¬£¬£¬£¬µ«²»ÊÇÓü¤¹â¡¢¹â×ÓÏûµô¾Í¿ÉÒÔÁË£¬ £¬£¬£¬£¬£¬£¬£¬ÕâÑù»¹»áÔÙ³¤£¬ £¬£¬£¬£¬£¬£¬£¬ÓÉÓÚÊÇϸ°ûµÄÒì³£ÊôÐÔû±ä ¡£¡£¡£¡£¡£ÎÒÃÇÊÇÓÃÔÙÉú¸Ä±äÕâ¸öϸ°ûµÄÒì³£ÊôÐÔ£¬ £¬£¬£¬£¬£¬£¬£¬¼¤»î¶þ´ÎÉúÃüϸ°û£¬ £¬£¬£¬£¬£¬£¬£¬Ê¹Æ¤·ôÔÙÉú»Ø¸´ ¡£¡£¡£¡£¡£
      ÕæÆ¤µÄ½áµÞ×éÖ¯´úлʱ¼äÒ»Ñùƽ³£Êǰë¸öÔ£¬ £¬£¬£¬£¬£¬£¬£¬ÕâÒ²ºÍ¼¾½Úת±äÓйØÏµ ¡£¡£¡£¡£¡£ÎÒÃÇ´ÓÈËÌåÉÏÊÓ²ì½ÏÁ¿¶àµÄÊÇθ³¦Õ³Ä¤£¬ £¬£¬£¬£¬£¬£¬£¬µ½3¸öÔµÄʱ¼ä£¬ £¬£¬£¬£¬£¬£¬£¬Î¸³¦Õ³Ä¤ÏÔ×ű¬·¢Á˸ı䣬 £¬£¬£¬£¬£¬£¬£¬ÒѾ­¸üР¡£¡£¡£¡£¡£Î¸³¦Õ³Ä¤ÔöÌíËÙÂÊÊÇ3¸öÔ£¬ £¬£¬£¬£¬£¬£¬£¬Æ¤·ôÒ²ÊÇÕâÑù£¬ £¬£¬£¬£¬£¬£¬£¬¿ÉÊÇ»¹Ã»ÓкÜÊÇ׼ȷµÄÊý×Ö ¡£¡£¡£¡£¡£±íƤ½ÏÁ¿ÏÔ×Å£¬ £¬£¬£¬£¬£¬£¬£¬±íƤµÄËðÉËÐÔÐÞ¸´ËÄ´ó²ãÍê³ÉÐèÒª7ÌìµÄʱ¼ä£¬ £¬£¬£¬£¬£¬£¬£¬ÕâÒ²´Ó±íƤÉÕÉËÐèÒª7Ìì¡¢ÍâòµÄ¼¤¹âÒ²ÊǼ¸ÌìÐÞ¸´¾Í¿ÉÒÔ¿´³öÀ´ ¡£¡£¡£¡£¡£µ«ÕæÆ¤ÐÞ¸´¶¼ÔÚ3ÖÜÒÔÉÏ£¬ £¬£¬£¬£¬£¬£¬£¬ÕæÆ¤µÄÔÙÉú£¬ £¬£¬£¬£¬£¬£¬£¬Ò²Ö»ÓÐÎÒÃÇ×öµ½ÁË£¬ £¬£¬£¬£¬£¬£¬£¬±ðÈ˶¼Êǰ̺ÛÐÞ¸´ ¡£¡£¡£¡£¡£±ÈÕæÆ¤ÔÙÉîµÄËðÉË£¬ £¬£¬£¬£¬£¬£¬£¬Ò»Ñùƽ³£Ò²Ã»ÓÐÁè¼Ý4ÖÜÐÞ¸´µÄ ¡£¡£¡£¡£¡£
¡¾Æ¤·ôÔÙÉú»Ø¸´µÄ¶¯ÎïÊÔÑéÊý¾Ý¡¿
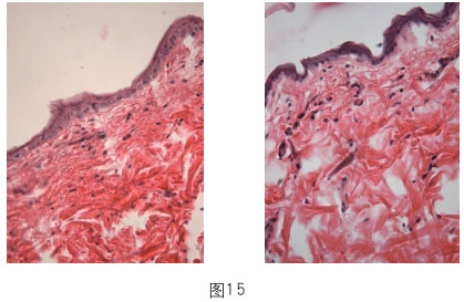
     ÎÒÃÇ×öÁËÃ÷È·ÊóÊÔÑ飬 £¬£¬£¬£¬£¬£¬£¬Î¹ÑøµÄÁ½ÅúÀÏÊó¶¼ÊÇ300ÌìµÄ³ÉÄê°×Êó£¬ £¬£¬£¬£¬£¬£¬£¬Ò»×é³ÔÉÅËØ£¬ £¬£¬£¬£¬£¬£¬£¬10%µÄ £»£»£»£»£»£»£»£»Ò»×é±ÈÕÕ£¬ £¬£¬£¬£¬£¬£¬£¬Í¬ÑùµÄÁ¿Î¹Ñø£¬ £¬£¬£¬£¬£¬£¬£¬Î¹µ½826Ì죬 £¬£¬£¬£¬£¬£¬£¬Î¹ÔÙÉúÎïÖʵÄÕâ×é³ýÈ¥Á½¸öÀ­¶Ç×ÓéæÃüµÄ£¬ £¬£¬£¬£¬£¬£¬£¬Ê£Ï¶¼ÔÚÊÀ ¡£¡£¡£¡£¡£  ¶ø±ÈÕÕµÄÄÇÒ»×飬 £¬£¬£¬£¬£¬£¬£¬Ö»ÓÐÒ»Ö»»îµ½826Ì죬 £¬£¬£¬£¬£¬£¬£¬ÆäËû¶¼ÔÚ550Ìì×óÓÒéæÃü ¡£¡£¡£¡£¡£°ÑËùÓÐÔàÆ÷×ö×éÖ¯ÇÐÆ¬£¨Í¼15£©£¬ £¬£¬£¬£¬£¬£¬£¬ÊÔÑé×éÀÏÊóµÄƤ·ô

ÊÇÄêÇáµÄ£¬ £¬£¬£¬£¬£¬£¬£¬±ÈÕÕ×é¾ÍÊÇÍË»¯µÄ£¬ £¬£¬£¬£¬£¬£¬£¬ËùÓÐÆ÷¹Ù¶¼ÊÇÒ»Ñù£¬ £¬£¬£¬£¬£¬£¬£¬³ÔÔÙÉúÎïÖʻ826Ì죬 £¬£¬£¬£¬£¬£¬£¬Áè¼ÝÕý³£ÀÏÊóÊÙÃüÒ»±¶µÄÀÏÊóµÄƤ·ôÆ÷¹ÙºÍ»îµ½300ÌìµÄÀÏÊóµÄÆ÷¹ÙÊÇÒ»ÑùµÄ£¬ £¬£¬£¬£¬£¬£¬£¬Ã»ÓÐÐàÂõ ¡£¡£¡£¡£¡£ÀÏÊóµÄƽ¾ùÊÙÃüÄêËêÊÇ480Ìì ¡£¡£¡£¡£¡£zotyÖÐÅ·ÌåÓýÀÏÊó»îµ½826Ì죬 £¬£¬£¬£¬£¬£¬£¬Ê£ÏµÄÑøµ½Áè¼ÝһǧÌ죬 £¬£¬£¬£¬£¬£¬£¬ÒѾ­ÊÇÕý³£ÀÏÊóµÄ½üÈý±¶ÊÙÃüÄêËê ¡£¡£¡£¡£¡£ÕâÊÇÎÒÃÇʵÑéµÄЧ¹û£¬ £¬£¬£¬£¬£¬£¬£¬ÎÒÃÇÔÚÓøü¶àµÄÊÔÑé֤ʵ ¡£¡£¡£¡£¡£°´ÀÏÊóµÄÊÙÃüÄêËêÕÛË㣬 £¬£¬£¬£¬£¬£¬£¬ÔÙÉúÎ¹Ñøµ½200ËêºÍÖÐÄêÊóÊÇÒ»ÑùµÄ£¬ £¬£¬£¬£¬£¬£¬£¬ÒÀ¾ÉÄêÇá ¡£¡£¡£¡£¡£Æ¤·ôÕý³£µÄ»ùÄÚÇé°ûÊÇÖù×´µÄ£¬ £¬£¬£¬£¬£¬£¬£¬ÀÏ»¯µÄÌåÏÖ¾ÍÊÇ±íÆ¤Ï¸°ûËúÏÝ£¬ £¬£¬£¬£¬£¬£¬£¬²»´úлÁË£¬ £¬£¬£¬£¬£¬£¬£¬Ö»Óм¸¸öÊÇÖù×´µÄ ¡£¡£¡£¡£¡£ÕæÆ¤¾ÍÊ£¼¸¸ö¿ò¼Ü£¬ £¬£¬£¬£¬£¬£¬£¬½ºÔ­ÏËάûÓм¸¶à£¬ £¬£¬£¬£¬£¬£¬£¬Á¬½áµÞ×é֯ҲʣÁ˼¸¸ö¿ò¼Ü£¬ £¬£¬£¬£¬£¬£¬£¬ÅþÁ¬µÄÏËάҲûÓм¸¶àÁË ¡£¡£¡£¡£¡£Ã÷È·Ê󯤷ôÕâ¸öЧ¹û»¹Ö»ÊÇ¿¿¿Ú·þµÖ´ïµÄЧ¹û£¬ £¬£¬£¬£¬£¬£¬£¬²¢Ã»ÓÐÆ¤·ôÍâÔڵĵ¼È룬 £¬£¬£¬£¬£¬£¬£¬¾ÍÄִܵïÕâôºÃµÄЧ¹û ¡£¡£¡£¡£¡£¿£¿ £¿£¿£¿£¿£¿ÉÒÔÕâô˵ÀÏÊ󯤷ôÒ»×îÏȾÍÊÇÕâÑù£¬ £¬£¬£¬£¬£¬£¬£¬ÎÒÃǰÑËüά³ÖסÁË ¡£¡£¡£¡£¡£ÈôÊÇÒѾ­ÀÏÁËÏë±äÔ­À´×îÄêÇáÒ²²»Ì«¿ÉÄÜ£¬ £¬£¬£¬£¬£¬£¬£¬ÓÉÓÚÏËÎ¬ÊøÒѾ­É¢ÁË ¡£¡£¡£¡£¡£ÎÒÃÇÓÃÑõÆø°ÑÔÙÉúÎïÖÊ´Ó»ùµ×Ĥµ¼Èë½øÈ¥£¬ £¬£¬£¬£¬£¬£¬£¬ÕâЩÔÙÉúÎïÖÊÔÙ½øÈë×éÖ¯µÄ¸÷¸ö²¿Î» ¡£¡£¡£¡£¡£ËäÈ»ÎÒÃÇÒ²ÈÃÕâЩϸ°û´ÓѪҺÄÚÀï»ñµÃÔÙÉúÎïÖÊ£¬ £¬£¬£¬£¬£¬£¬£¬·½·¨¾ÍÊǿڷþ ¡£¡£¡£¡£¡£ÒÔÊÇzotyÖÐÅ·ÌåÓý»áËùÆ÷¹ÙÔÙÉúÊÇÈ«ÏîµÄ£¬ £¬£¬£¬£¬£¬£¬£¬¶ø²»ÊǼòµ¥ÏîÄ¿£¬ £¬£¬£¬£¬£¬£¬£¬ÒÔÉÏÄÚÈÝÖ÷ÒªÊÇÕë¶ÔƤ·ôµÄ ¡£¡£¡£¡£¡£
      ÕâÊÇÆ¤·ôÄÚÀïÒ»¸ö³ÉÏËάϸ°û±¬·¢Ë¿È»ºóÍÂË¿£¨Í¼16£©£¬ £¬£¬£¬£¬£¬£¬£¬µ«ÐàÂõµÄϸ°û¾ÍͲ»³öË¿À´£¬ £¬£¬£¬£¬£¬£¬£¬ÈçÏëÄêÇᣬ £¬£¬£¬£¬£¬£¬£¬¾Í±ØÐèÈÃËü¾ÙÐÐ×ÔÎÒ¸üР¡£¡£¡£¡£¡£ÎÒÃÇÒª×öµÄ¾ÍÊǰѳÉÏËάϸ°ûÄð³É³ÉÏËάĸϸ°û ¡£¡£¡£¡£¡£ÒªÍ¨¹ýƤ·ô×éÖ¯ÄÚÀïµÄ¼äÖÊϸ°û£¬ £¬£¬£¬£¬£¬£¬£¬Æô¶¯µÚ¶þ´ÎÉúÃüϸ°û£¬ £¬£¬£¬£¬£¬£¬£¬ÈüäÖÊϸ°û±¬·¢ÐµijÉÏËάĸϸ°û£¬ £¬£¬£¬£¬£¬£¬£¬¶ø²»ÊÇʹÓÃÕâЩ³ÉÏËάϸ°ûµÄµÚÒ»´ÎÉúÃü£¬ £¬£¬£¬£¬£¬£¬£¬¸ü²»ÊÇÓɳÉÏËάϸ°ûÄð³É³ÉÏËάĸϸ°û ¡£¡£¡£¡£¡£ÕâÀïµÄ³ÉÏËάĸϸ°û¾ÍÊÇÖ¬·¾½áµÞ×éÖ¯ÄÚÀïµÄ¼äÖÊϸ°û±¬·¢µÄ ¡£¡£¡£¡£¡£

     ¡¾Æ¤·ôÔÙÉúµÄϸ°ûѧת±ä¡¿
      Ƥ·ôÉÏÆ¤Ï¸°ûȪԴÓÚ½ÇÂѰ×19ÐÍ£¬ £¬£¬£¬£¬£¬£¬£¬½ÇÂѰ×19ÐÍϸ°û¿ÉÒÔ´Ó¼äÖÊϸ°ûת±ä£¬ £¬£¬£¬£¬£¬£¬£¬¿ÉÒÔ´ÓÈâÑ¿×é֯ת±ä£¬ £¬£¬£¬£¬£¬£¬£¬Ò²¿ÉÒÔ´Ó¹ÇËèϸ°ûת±ä ¡£¡£¡£¡£¡£ÎÒÃÇÔÚ¹ÇÍ·ÉÏ´òÉϿף¬ £¬£¬£¬£¬£¬£¬£¬È¡ÈâÑ¿Á¬Ã¦È¥×öϸ°ûÅжϣ¬ £¬£¬£¬£¬£¬£¬£¬ºÜ¿ì¾Í»á·ºÆð½ÇÂѰ×19ÐÍ ¡£¡£¡£¡£¡£±È¼°ÈâÑ¿×é֯ƽÁË£¬ £¬£¬£¬£¬£¬£¬£¬ÂíÉϾÍÄð³É½ÇÂѰ×19ÐÍÆ¤·ôϸ°û£¬ £¬£¬£¬£¬£¬£¬£¬Í¬Ê±Ò²»á·¢ÌìÉúÏËάĸϸ°û ¡£¡£¡£¡£¡£Ò»¶¨ÒªÊ¼ÖÕ¼á³ÖÕæÆ¤×éÖ¯ÄÚÀïÓгÉÏËάĸϸ°ûÐèÒªµÄÔÙÉúÎïÖÊ£¬ £¬£¬£¬£¬£¬£¬£¬²Å»ª¼¤»î³ÉÏËάĸϸ°û£¬ £¬£¬£¬£¬£¬£¬£¬»òÕß±£ÑøºÃÕâÖÖϸ°û£¬ £¬£¬£¬£¬£¬£¬£¬Ê¹Ëü±¬·¢ÐµĽºÔ­Ä¸Ï¸°û ¡£¡£¡£¡£¡£ÍíÄêÈËÒѾ­ÓÐÁËÐàÂõµÄÏËάϸ°û£¬ £¬£¬£¬£¬£¬£¬£¬ÎÒÃǾÍÓõ¼ÈëÔÙÉúÎïÖʵÄÒªÁìʹÕâÏËάÔÙ³ÉÊø£¬ £¬£¬£¬£¬£¬£¬£¬Ò»±ßÈÃËü³ÉÊø£¬ £¬£¬£¬£¬£¬£¬£¬Ò»±ßÔÙÈóÉÏËάĸϸ°û³É»î£¬ £¬£¬£¬£¬£¬£¬£¬¸üУ¬ £¬£¬£¬£¬£¬£¬£¬È¡´úÕâЩÐàÂõµÄ³ÉÏËάϸ°û£¬ £¬£¬£¬£¬£¬£¬£¬±¬·¢¸ü¶àµÄÏËά ¡£¡£¡£¡£¡£Õâ¸öʱ¼äºÜÂý£¬ £¬£¬£¬£¬£¬£¬£¬°ëÄêÄܹ»ÊÕЧ£¬ £¬£¬£¬£¬£¬£¬£¬ÓÉÓÚ»¹Òª°ÑÐàÂõµÄÏËÎ¬ÊøÎüÊÕ½µ½âµô£¬ £¬£¬£¬£¬£¬£¬£¬¶øÕâÖÖÏËÎ¬Êø»áËæ×ÅzotyÖÐÅ·ÌåÓýÖ¬·¾Ëá´úл¶øÎüÊÕ£¬ £¬£¬£¬£¬£¬£¬£¬¾¿¾¹¶à³¤Ê±¼ä²ÅÍêÈ«¿¢Ê£¬ £¬£¬£¬£¬£¬£¬£¬Ê±¼ä»¹²»¸ÒÈ·¶¨ ¡£¡£¡£¡£¡£ÏÖÔÚÖ»ÄÜ˵°ëÄêʱ¼ä»áÓÐÒ»¸ö½ÏΪÏÔ×ŵÄЧ¹û ¡£¡£¡£¡£¡£×èÖ¹ÔÙÍâÐÐÒÕ²Ù×÷£¬ £¬£¬£¬£¬£¬£¬£¬¾Í»á×èÖ¹ÔÚÆäʱµÄÔÙÉú»Ø¸´×´Ì¬ ¡£¡£¡£¡£¡£³¤Ê±¼ä²»×öÆ÷¹ÙÔÙÉú»Ø¸´£¬ £¬£¬£¬£¬£¬£¬£¬¾Í»áÔÚÒѾ­»ñµÃÔÙÉúµÄ»ù´¡ÉϼÌÐøÀÏ»¯ ¡£¡£¡£¡£¡£ÓÉÓÚÆ¤·ôµÄ´úлÊÇ7ÌìÒ»²ã£¬ £¬£¬£¬£¬£¬£¬£¬ÎÒÃǾÍÊÇÓÃÕâÖÖÈÝÒ×´úл¿ÉÒÔËæÁܰͽøÈëѪҺµÄÔÙÉúÎïÖÊ£¬ £¬£¬£¬£¬£¬£¬£¬µÖ´ï7¡ª10Ìì¾Í´úлµô ¡£¡£¡£¡£¡£ÈôÊÇ2¡ª3¸öÔÂûÓÐ×öÔÙÉú»Ø¸´ÑøÉú£¬ £¬£¬£¬£¬£¬£¬£¬Æ¤·ôÈÔÌåÏÖÔÚÔÙÉúºóµÄ״̬£¬ £¬£¬£¬£¬£¬£¬£¬ËµÃ÷Ƥ·ôϸ°ûÒѾ­ÔÙÉúÁË ¡£¡£¡£¡£¡£¿ÉÊÇûÓÐÒ»Á¬µÄÔÙÉúÓªÑø£¬ £¬£¬£¬£¬£¬£¬£¬Ï¸°û¶öÁË£¬ £¬£¬£¬£¬£¬£¬£¬¾Í²»»á¼ÌÐøÔÙÉúÁË ¡£¡£¡£¡£¡£ÎÒÃÇÒªÏíÊܵľÍÊǵڶþ´ÎÔÙÉúÉúÃü ¡£¡£¡£¡£¡£ÈôÊÇ×èÖ¹ÁËÔÙÉúÓýÉú£¬ £¬£¬£¬£¬£¬£¬£¬Ëü¾Í»áÔÚÏÖÓеĻù´¡ÉϼÌÐøÀÏ»¯ ¡£¡£¡£¡£¡£

     ÎÒÃÇÕâÀï˵µÄÊdzÉÏËάϸ°û£¬ £¬£¬£¬£¬£¬£¬£¬²»ÊdzÉÏËάĸϸ°û(ͼ17-A£© ¡£¡£¡£¡£¡£Ä¸Ï¸°ûÔÚÆ¤·ôÕæÆ¤ÄÚÀïʱ¿Ì±£´æ ¡£¡£¡£¡£¡£Ëæ×ÅÄêËêµÄÔöÌí£¬ £¬£¬£¬£¬£¬£¬£¬Ä¸Ï¸°û¡¢¸Éϸ°ûÔ½À´Ô½ÉÙ ¡£¡£¡£¡£¡£ÏÖÔÚÎÒÃÇÊÇÒª¼¤»îºÍÆô¶¯Ëü ¡£¡£¡£¡£¡£¾ÍÏñÔÚÉÕÉ˵ÄÍâòÔõÑù³¤³öÐÂµÄÆ¤·ô ¡£¡£¡£¡£¡£¼ÝÔ¦ËüµÄÉú³¤£¬ £¬£¬£¬£¬£¬£¬£¬ÐèÒªÌõ¼þµÄÅäºÏ ¡£¡£¡£¡£¡£Ò»¸ö³ÉÏËάϸ°û£¬ £¬£¬£¬£¬£¬£¬£¬Ëæ×ÅÐàÂõ£¬ £¬£¬£¬£¬£¬£¬£¬·ºÆð¿ÕÅÝ¡¢ÆÓª£¬ £¬£¬£¬£¬£¬£¬£¬Ï¸°ûºËÉøÍ¸Ò²²»ÐËÍú£¬ £¬£¬£¬£¬£¬£¬£¬Ï¸°ûÖÊÀïµÄÔ­½ºÔ­ÏËάÔÓÂÒÎÞÕ ¡£¡£¡£¡£¡£ÏÈ˵ϸ°ûºË£¬ £¬£¬£¬£¬£¬£¬£¬ÔÙÉúÎïÖʱ»µ¼Èëϸ°ûºó£¬ £¬£¬£¬£¬£¬£¬£¬Ï¸°ûºËĤ±äΪ¹æÕûµÄ£¬ £¬£¬£¬£¬£¬£¬£¬ËäÈ»ËüÊÇÐàÂõµÄ£¬ £¬£¬£¬£¬£¬£¬£¬µ«¾­ÓÉÔÙÉúÎïÖʵÄÓªÑøÇ¿ÐÄ£¬ £¬£¬£¬£¬£¬£¬£¬ÓÖÓÐÁËÄÜÁ¿ ¡£¡£¡£¡£¡£´ÓÔ­½ºÔ­ÏËά˵£¬ £¬£¬£¬£¬£¬£¬£¬Ï¸°ûÖÊÄÚÀïµÄÔ­½ºÔ­Ã»Í³öÀ´Ö®Ç°ÊÇÔÓÂÒÎÞÕµģ¬ £¬£¬£¬£¬£¬£¬£¬¾­ÓÉzotyÖÐÅ·ÌåÓýÔÙÉúÎïÖʵĵ¼È룬 £¬£¬£¬£¬£¬£¬£¬Ï¸°ûͳöµÄ½ºÔ­ÏËά¾Í˳ÁË£¬ £¬£¬£¬£¬£¬£¬£¬ÕâÊÇϸ°ûÄÚÀïµÄ״̬ ¡£¡£¡£¡£¡£µ¼ÈëÔÙÉúÎïÖʺó³ÉÏËάϸ°ûÄÚµÄת±ä(ͼ17-B)£¬ £¬£¬£¬£¬£¬£¬£¬Ï¸°ûÄÚÏËάÓÐÐò£¬ £¬£¬£¬£¬£¬£¬£¬Ï¸°ûÉú³¤ÐËÍú ¡£¡£¡£¡£¡£ÔÙÉúÎïÖʵ¼ÈëÖ®ºó£¬ £¬£¬£¬£¬£¬£¬£¬Ï¸°ûµÄÄÜÁ¿¾ÍÔöÇ¿ÁË£¬ £¬£¬£¬£¬£¬£¬£¬´úлÐËÍú£¬ £¬£¬£¬£¬£¬£¬£¬×Ô¶¯µÄµ÷ÀíÏËά ¡£¡£¡£¡£¡£ÓÉÓÚ½ºÔ­ÏËάÂѰ×ÔÚÔ­½ºÔ­Ê±ÆÚÊÇͨÏ꾡°ûÄÚÀïµÄ°±»ùËá¡¢Ö¬·¾ËáµÄ´úлÐÎ³ÉµÄ ¡£¡£¡£¡£¡£ÈËÌåÓÐ8ÖÖ±ØÐè°±»ùËᣬ £¬£¬£¬£¬£¬£¬£¬½ºÔ­ÏËάÂѰ׾ÍÕ¼ÓÐ7ÖÖ£¬ £¬£¬£¬£¬£¬£¬£¬Í¬Ê±»¹¶àÁËÒ»Ñùƽ³£²»´úлµÄôǸ¬°±Ëá ¡£¡£¡£¡£¡£°±»ùËá´úлÊÇϸ°û×ÔÉíµÄÄÜÁ¦£¬ £¬£¬£¬£¬£¬£¬£¬ÓÉÓÚϸ°ûµÄÐàÂõ£¬ £¬£¬£¬£¬£¬£¬£¬ÏßÁ£Ì幦ЧÏ÷Èõ£¬ £¬£¬£¬£¬£¬£¬£¬±¬·¢²»ÁËϸ°ûºÏ³ÉºÍÐèÒªµÄATPÄÜÁ¿£¬ £¬£¬£¬£¬£¬£¬£¬ºÏ³ÉµÄÏËά¾ÍÔÓÂÒÎÞÕ ¡£¡£¡£¡£¡£¶øÏËάºÏ³ÉÍêÁË£¬ £¬£¬£¬£¬£¬£¬£¬²ÅÜöÝÍÆðÀ´×éÖ¯Êä³ö ¡£¡£¡£¡£¡£ÒÔÊÇ˵һ¸öÐàÂõµÄ½ºÔ­ÏËάϸ°ûͳöµÄ¾ÍÊÇȱÉÙÕ³ÐÔµÄË¿ ¡£¡£¡£¡£¡£½ºÔ­ÂѰ×Ë¿ÊÇÒÔ½ºÔ­ÂѰ×ΪÖ÷£¬ £¬£¬£¬£¬£¬£¬£¬¿ÉÊÇË¿ºÍ˿֮¼äµÄÅþÁ¬ÊÇÒ»ÖÖÖ¬·¾Ëᣬ £¬£¬£¬£¬£¬£¬£¬Õâ¸öÖ¬·¾Ëá±ØÐèÊÇ¿ÉÈÜÐԵģ¬ £¬£¬£¬£¬£¬£¬£¬¿É´úлµôµÄ£¬ £¬£¬£¬£¬£¬£¬£¬²»»á¡°¸Æ»¯¡±µÄ ¡£¡£¡£¡£¡£µ¼ÈëÔÙÉúÎïÖÊÖ®ºó£¬ £¬£¬£¬£¬£¬£¬£¬Ë¿ºÍ˿֮¼äÂíÉϾÍÁ¬ÔÚÒ»Æð³ÉÊø ¡£¡£¡£¡£¡£¿µ½¡µÄϸ°ûͳöÀ´µÄ²ÅÊÇÊø£¬ £¬£¬£¬£¬£¬£¬£¬²»¿µ½¡µÄϸ°ûͳöÀ´µÄÖ»ÊÇË¿ ¡£¡£¡£¡£¡£zotyÖÐÅ·ÌåÓý·¢Ã÷ÊÇÔÚÉÕÉËÉÏ·¢Ã÷²¢Ñо¿³öÀ´µÄ ¡£¡£¡£¡£¡£ÎÒÃÇÓÃÖÖÖÖ²½·¥°ÑÕâÖÖÔÙÉúÎïÖʵ¼ÈëÆ¤·ô£¬ £¬£¬£¬£¬£¬£¬£¬È¡³ö²¿·Öϸ°ûÆÊÎö£¬ £¬£¬£¬£¬£¬£¬£¬Æ¤·ôÔÚת±ä£¬ £¬£¬£¬£¬£¬£¬£¬µ¼ÈëǰºÍµ¼ÈëºóÍêÈ«²»ÊÇÒ»¸öÑù ¡£¡£¡£¡£¡£ÏÖÔ򵀮÷¹ÙÔÙÉú»Ø¸´Ò²ÊÇÒ»¸öÔ­Àí£¬ £¬£¬£¬£¬£¬£¬£¬Ðí¶àÖåÎÆ£¬ £¬£¬£¬£¬£¬£¬£¬µ¼ÈëÔÙÉúÎïÖÊºó£¬ £¬£¬£¬£¬£¬£¬£¬»á±ädz£¬ £¬£¬£¬£¬£¬£¬£¬ÉõÖÁÏûÊŲ»ÔÙÐèÒª»¯×± ¡£¡£¡£¡£¡£×îÖÕµÄÄ¿µÄÄØ£¬ £¬£¬£¬£¬£¬£¬£¬ÊÇÒª°Ñ²»Õý³£µÄϸ°û±äΪÕý³£µÄϸ°û ¡£¡£¡£¡£¡£´ÓÍâòµÄ¸ÐÊÜÄØ£¬ £¬£¬£¬£¬£¬£¬£¬¾ÍÊÇ°ÑÆ¤·ôÄð³ÉÕý³£µÄÊø ¡£¡£¡£¡£¡£¿£¿ £¿£¿£¿£¿£¿ÉÒÔ˵Ƥ·ôºñ¶ÈÒ»Ñùƽ³£ËæÄêËêÔöÌí»áÔ½À´Ô½± ¡£¡£¡£¡£¡£¬ £¬£¬£¬£¬£¬£¬£¬¶øÎÒÃÇÒ»¶¨ÒªÈÃÆ¤·ô±äºñ²ÅÕæµÄµÖ´ïЧ¹û ¡£¡£¡£¡£¡£Õâ¸ö±äºñÊÔÑéÒѾ­×ö³öÀ´ÁË£¬ £¬£¬£¬£¬£¬£¬£¬ÏÂÃæ¾ÍÊÇijŮʿµÄÁ³£¬ £¬£¬£¬£¬£¬£¬£¬ÊÇzotyÖÐÅ·ÌåÓý¹æ·¶±ê×¼£¨Í¼18£©£¬ £¬£¬£¬£¬£¬£¬£¬

Õâ¸öƤ·ôÔÙÉú»Ø¸´ÊÇÁ½¸öÔ¶࣬ £¬£¬£¬£¬£¬£¬£¬²»µ½Èý¸öÔ£¬ £¬£¬£¬£¬£¬£¬£¬¸÷ÈË¿´Õâ¸öÁ³ÐÍ£¬ £¬£¬£¬£¬£¬£¬£¬Ô­À´µÄƤ·ôÊÇÔ­À´µÄÃÀÈÝЧ¹û£¬ £¬£¬£¬£¬£¬£¬£¬ÕÕÆ¬¶¼ÊÇÆ¤·ôÍâòϴåªÇå½àÒÔºóÅÄÉãµÄ£¬ £¬£¬£¬£¬£¬£¬£¬¿ÉÒÔ¿´µ½£¬ £¬£¬£¬£¬£¬£¬£¬Íâò²»Æ½»¬£¬ £¬£¬£¬£¬£¬£¬£¬¿´ÉÏÈ¥Ãæ²¿ÍâòÓÉÓÚͿĨ»¯×±Æ·ºÜÁÁ£¬ £¬£¬£¬£¬£¬£¬£¬ÏÖʵÊǸߵͲ»Æ½µÄ£¬ £¬£¬£¬£¬£¬£¬£¬Ç°ÃæÒѾ­ÏÈÈݹý£¬ £¬£¬£¬£¬£¬£¬£¬ÒѾ­ÕûÀíµ½¿ÅÁ£²ãÁË£¬ £¬£¬£¬£¬£¬£¬£¬°Ñ½Ç»¯²ã¶¼ÕûÀíÁË£¬ £¬£¬£¬£¬£¬£¬£¬±ØÐèÔÚÆ¤·ôÍâòͿĨ»¯×±Æ· ¡£¡£¡£¡£¡£´ËºóÃæµÄÕÕÆ¬ÄØ£¬ £¬£¬£¬£¬£¬£¬£¬¾ÍÊÇÕû¸öƤ·ôºñ£¬ £¬£¬£¬£¬£¬£¬£¬ÊÇ±íÆ¤µÄºñ¶ÈÍê³ÉÁË£¬ £¬£¬£¬£¬£¬£¬£¬Óɼ¬²ã¡¢¿ÅÁ£²ãºÍ½Ç»¯²ã×é³É ¡£¡£¡£¡£¡£¶ø½Ç»¯²ãÆðµ½¿´²»¼ûµÄÆÁÕÏ×÷Ó㬠£¬£¬£¬£¬£¬£¬£¬ÕâÊÇ´ÓÍâòÀ´¿´ ¡£¡£¡£¡£¡£´ÓÕæÆ¤À´¿´£¬ £¬£¬£¬£¬£¬£¬£¬ÄÇÊǺñ±¡µÄ²î±ð£¬ £¬£¬£¬£¬£¬£¬£¬´ÓÎÒÃÇÕâ¸öͼƬÉÏÀ´¿´£¬ £¬£¬£¬£¬£¬£¬£¬Ëæ×ÅÄêËêÔöÌíÆ¤·ô»áËúÏÝ£¬ £¬£¬£¬£¬£¬£¬£¬ÓÐÁ½ÖÖËúÏÝ£ºÒ»¸öÊÇÆ¤ÏÂ×éÖ¯ËúÏÝ£¬ £¬£¬£¬£¬£¬£¬£¬ÊǼ¡ÈâºÍÖ¬·¾×é֯ήËõ £»£»£»£»£»£»£»£»Ò»¸öÊÇÆ¤·ôËúÏÝ£¬ £¬£¬£¬£¬£¬£¬£¬Æ¤·ôËúÏÝÊÇÏÂ×¹£¬ £¬£¬£¬£¬£¬£¬£¬Æ¤·ôÒ»ÏÂ×¹¾Í³Å²»ÆðÀ´£¬ £¬£¬£¬£¬£¬£¬£¬ºóÃæÕâÕÅÕÕÆ¬ÊÇÔÙÉú²»µ½Èý¸öÔµģ¬ £¬£¬£¬£¬£¬£¬£¬¿ÉÒÔ¿´³öƤ·ô³ÅÆðÀ´ÁË£¬ £¬£¬£¬£¬£¬£¬£¬×îÄÑ¿°µÄ¾ÍÊÇÆ¤·ô³ÅÆðÀ´µÄ±¥Âú£¬ £¬£¬£¬£¬£¬£¬£¬ÒªÒ»Á¬¼á³ÖÕâÑù±¥ÂúÄǾͽâ¾öÎÊÌâÁË ¡£¡£¡£¡£¡£ÈôÊÇÒ»¸öÈýÊ®¼¸ËêµÄÈË£¬ £¬£¬£¬£¬£¬£¬£¬Æ¤·ô»¹Ã»ÓÐÏÂ×¹£¬ £¬£¬£¬£¬£¬£¬£¬ÄǾÙÐÐÔÙÉú¾Í¿ÉÒÔ¼á³ÖÁË£¬ £¬£¬£¬£¬£¬£¬£¬¾ÍÏñÎÒÃÇÒѾ­ÀÖ³ÉÁ˵ÄÃ÷È·ÊóÊÔÑéÒ»Ñù£¬ £¬£¬£¬£¬£¬£¬£¬¿ÉÒÔ¼á³ÖÁË ¡£¡£¡£¡£¡£ÄÇЩƤ·ôÒѾ­ÐàÂõµÄÎÒÃÇ¿ÉÒÔÈÃÆ¤·ô»Ö¸´ ¡£¡£¡£¡£¡£´Ó¾±²¿À´Ëµ£¬ £¬£¬£¬£¬£¬£¬£¬Ô­À´µÄÕÕÆ¬ËúÏݵúÜÏÔ×Å£¨Í¼19£©£¬ £¬£¬£¬£¬£¬£¬£¬ÎÒÃÇ¿ÉÒÔÈÃÆ¤·ô±äµÃ±¥Âú£¬ £¬£¬£¬£¬£¬£¬£¬µ«±ØÐèʼÖÕ°ü¹Üÿһ´Î¶¼½«ÔÙÉúÎïÖʵ¼Èë½øÈ¥£¬ £¬£¬£¬£¬£¬£¬£¬µ¼Èë²»µ½Æ¤·ôÄÚϸ°û¾ÍûÓÐÔÙÉúÓªÑøÁË£¬ £¬£¬£¬£¬£¬£¬£¬Ò»µ©×èÖ¹Æ÷¹ÙÔÙÉúƤ·ô¾Í²»ÔÙ¼á³ÖÔÙÉúµÄ×î¼Ñ״̬ÁË£¬ £¬£¬£¬£¬£¬£¬£¬µ«²»»á»Øµ½ÔÙÉúǰµÄ״̬ ¡£¡£¡£¡£¡£¾±²¿Æ¤·ôºÜÊÇËÉи£¬ £¬£¬£¬£¬£¬£¬£¬ÓëÃæ²¿Æ¤·ô×éÖ¯²î±ð£¬ £¬£¬£¬£¬£¬£¬£¬Ã沿ÒÔ½ºÔ­ÏËάΪÖ÷£¬ £¬£¬£¬£¬£¬£¬£¬¾±²¿µ¯Á¦ÏËάÔö¶àÁË£¬ £¬£¬£¬£¬£¬£¬£¬Í¬Ñùµ¼ÈëÔÙÉúÎïÖÊ£¬ £¬£¬£¬£¬£¬£¬£¬ÔÚÃæ²¿¿É±¬·¢´ó×Ú½ºÔ­ÂѰף¬ £¬£¬£¬£¬£¬£¬£¬ÔÚ¾±²¿±¬·¢½ÏÉÙ£¬ £¬£¬£¬£¬£¬£¬£¬ÓÉÓÚ¾±²¿µ¯Á¦ÏËά¶à£¬ £¬£¬£¬£¬£¬£¬£¬Õâ¾ÍÊÇΪʲôÏÖÔÚ¾±²¿Ð§¹û»á²îÒ»µã£¬ £¬£¬£¬£¬£¬£¬£¬ÎÒÃÇδÀ´µ¼ÈëÔÙÉúÎïÖʵÄÁ¿£¬ £¬£¬£¬£¬£¬£¬£¬¾±²¿ÒªÁè¼ÝÃæ²¿2¡ª3±¶£¬ £¬£¬£¬£¬£¬£¬£¬²Å»ªÆðµ½¸üºÃµÄµ¼Èë×÷Óà ¡£¡£¡£¡£¡£
      ÒÔÉÏÊÇ»ùÀ´Ô´Àí£¬ £¬£¬£¬£¬£¬£¬£¬Æ¤·ô¼ÈÈ»¶¼ÄÜÔÙÉú£¬ £¬£¬£¬£¬£¬£¬£¬É«°ß¡¢ÍíÄê°ßìî³ý¾Í¸üÈÝÒ×½â¾öÁË£¬ £¬£¬£¬£¬£¬£¬£¬°üÀ¨·Û´Ì¡¢Ö¬·¾Á£µÈͨ³£Òì³£µÄ£¬ £¬£¬£¬£¬£¬£¬£¬²»¹ÜºÎµÈÑÏÖØ£¬ £¬£¬£¬£¬£¬£¬£¬Ö»ÒªÄÜÔÙÉú³öÐÂµÄÆ¤·ô¾ÍÍêÈ«¿ÉÒÔ½â¾ö ¡£¡£¡£¡£¡£

¡¾ÍøÕ¾µØÍ¼¡¿¡¾sitemap¡¿