zotyÖÐÅ·ÌåÓý

English zotyÖÐÅ·ÌåÓý¼¯ÍÅÆóÒµÓÊÏä

µÚÈý½Ú ÉÕÉËʪÐÔÒ½ÁÆÊÖÒÕ¶ÔÉÕÉËÈ«ºñƤ£¨ÕæÆ¤£©»µËÀ´´ÃæÆ¤·ô ÐÄÀíÔÙÉúµÄ×é֯ѧÊӲ졪µä·¶²¡ÀýÏÈÈÝ

×÷ÕߣºÖйúÖÐÎ÷ҽ͎áѧ»áÉÕÉËרҵίԱ»á ³öÊéÉ磺ÖйúÒ½Ò©¿Æ¼¼³öÊéÉç ¿¯ÐÐÈÕÆÚ£º2000Äê6ÔÂ

»¼ÕßÀî¡Á¡Á Å®20Ëê ÆûÓÍÉÕÉË35%TBSA£¨Éî¢ò¶ÈÉîÐÍ15% dz¢ó¶È20%£©¡£¡£¡£¡£¡£

É˺ó12h¼±ÕïÈëÔº £¬£¬£¬ £¬£¬£¬£¬¼ì²éË«ÏÂ֫Ϊdz¢ó¶ÈÉÕÉË¡£¡£¡£¡£¡£´´Ãæ±íƤÒÑ»µËÀ°þÍÑ £¬£¬£¬ £¬£¬£¬£¬ÕæÆ¤²ã±äÐÔ»µËÀ³ÊÀ¯»ÆÉ«ºÍÀ¯°×É«Ïà¼ä£¨Í¼5-3-1£©¡£¡£¡£¡£¡£È¡¾Ö²¿×éÖ¯×ö²¡ÀíÇÐÆ¬¼ì²é £¬£¬£¬ £¬£¬£¬£¬ÏÔʾÉÏÆ¤×é֯ȫ²ã»µËÀ £¬£¬£¬ £¬£¬£¬£¬ÕæÆ¤²ã½ºÔ­ÏËά±äÐÔ £¬£¬£¬ £¬£¬£¬£¬½á¹¹ÔÓÂÒ £¬£¬£¬ £¬£¬£¬£¬Î¢Ñ­»·ðöÖÍ£¨Í¼5-3-2£©¡£¡£¡£¡£¡£

ÈëÔººóÁ¬Ã¦ÓÃMEBOÍâÍ¿±£»£»£»£»£»£»£»£»¤´´Ãæ £¬£¬£¬ £¬£¬£¬£¬²¢Ðиû×÷¼õÕÅ´¦Öóͷ£¡£¡£¡£¡£¡£É˺ó48h²¿·Ö´´Ãæ×îÏÈÒº»¯ £¬£¬£¬ £¬£¬£¬£¬É˺ó4Ìì´´Ãæ»µËÀ×éÖ¯ÒÑËùÓÐ×îÏÈÒº»¯£¨Í¼5-3-3£©¡£¡£¡£¡£¡£Ã¿3¡«4hɨ³ý´´ÃæÒº»¯ÎïÒ»´Î²¢ÍâÍ¿MEBO¡£¡£¡£¡£¡£

ԭλÇÐÈ¡´´Ãæ×éÖ¯²¡ÀíÇÐÆ¬¼ì²é £¬£¬£¬ £¬£¬£¬£¬¼û»µËÀÉÏÆ¤×éÖ¯¼äÓдó×Ú¿ÅÁ£Ñù×éÖ¯ £¬£¬£¬ £¬£¬£¬£¬ÐÂÉúÉÏÆ¤Ï¸°ûºÍ½ºÔ­ÏËά×éÖ¯³ÊÍÅÑùÔöÉú £¬£¬£¬ £¬£¬£¬£¬²¢¿É¼ûµ½µä·¶µÄÀàËÆÓÚÌ¥¶ùƤ·ô½á¹¹µÄƤ·ôÅßÌ¥»ù(embryonic base,EB)(ͼ5-3-4a,5-3-4b)¡£¡£¡£¡£¡£MEBTÖÎÁÆ10Ììºó £¬£¬£¬ £¬£¬£¬£¬ÔÚ´´Ãæ±ßÑØÈ¡ÉÏÆ¤×éÖ¯²¡ÀíÇÐÆ¬¿É¼ûµ½½ÏԭʼµÄÉÏÆ¤×éÖ¯¡£¡£¡£¡£¡£

MEBTÖÎÁÆ20Ìì £¬£¬£¬ £¬£¬£¬£¬Éî¶È´´Ãæ´¦×éÖ¯ÇÐÆ¬¿É¼ûÐÂÉú½ÏÍêÕûµÄ¸´²ãÁÛ×´ÉÏÆ¤×éÖ¯ £¬£¬£¬ £¬£¬£¬£¬±íƤ²ãϸ°ûÐÎ̬ÒѾ­Ç÷ÓÚÕý³£ £¬£¬£¬ £¬£¬£¬£¬ÕæÆ¤²ã½ºÔ­ÏËάϸ°ûºÍ΢Ѫ¹ÜÐÎ̬ÒѾ­·ºÆð¡£¡£¡£¡£¡£

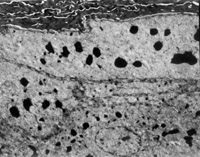
ÖÎÁÆ30Ììºó £¬£¬£¬ £¬£¬£¬£¬´´ÃæÉÏÆ¤×éÖ¯ÔÙÉúÐÞ¸´ÓÅÒ죨ͼ5-3-5£© £¬£¬£¬ £¬£¬£¬£¬Æ¤·ô½á¹¹ÒѾ­»ù±¾Õý³££¨Í¼5-3-6£©¡£¡£¡£¡£¡£

1. ×éÖ¯»¯Ñ§¼°ÃâÒß×éÖ¯»¯Ñ§È¾É«¼ì²é MEBT/MEBOÖÎÁÆ20Ììºó´´Ãæ×éÖ¯»¯Ñ§È¾É« £¬£¬£¬ £¬£¬£¬£¬ÉÏÆ¤×éÖ¯ºÍƤÏÂ×éÖ¯ÖнºÔ­ÏËάÇåÎú¿É¼û¡£¡£¡£¡£¡£

ÊÈÒøÈ¾É« £¬£¬£¬ £¬£¬£¬£¬ÏÔÊ¾Íø×´ÏËάÔÙÉúÑÄÔ¾¡£¡£¡£¡£¡£Æ¤ÏÂ×é֯СѪ¹ÜÖÜÎ§Íø×´ÏËά×éÖ¯½ÏÁ¿Õý³£¡£¡£¡£¡£¡£»£»£»£»£»£»£»£»ùµ×²ã»îÔ¾ÔÙÉú£¨Í¼5-3-7¡«5-3-8£©¡£¡£¡£¡£¡£

MEBT/MEBOÖÎÁÆ30Ììºó £¬£¬£¬ £¬£¬£¬£¬ÔÙÉúÐÞ¸´µÄÉÏÆ¤×éÖ¯¾ÙÐÐϸ°û½ÇÖÊËØAE3¼ì²éΪÑôÐÔ £¬£¬£¬ £¬£¬£¬£¬±íƤ¿ÅÁ£²ãϸ°ûÖʳÊ×ØÉ«È¾É« £¬£¬£¬ £¬£¬£¬£¬Ï¸°ûºË³ÊÀ¶É«£¨Í¼5-3-9¡«5-3-6£© £¬£¬£¬ £¬£¬£¬£¬Ö¤ÊµÎª×ÔÉíÔÙÉúµÄ¸´²ãÁÛ×´ÉÏÆ¤¡£¡£¡£¡£¡£

AE1ȾɫÏÙÉÏÆ¤ÂѰ×ÒõÐÔ¡£¡£¡£¡£¡£´ËÕ÷Ïó˼Á¿Îªº¹ÏÙÉÏÆ¤Ï¸°ûÒÑת»¯Îª±íƤ¸Éϸ°û£¨Í¼5-3-11£©¡£¡£¡£¡£¡£

2. µç¾µÊÓ²ì ÊÜÉ˵±ÈÕÉÏÆ¤×éÖ¯±äÐÔ»µËÀ £¬£¬£¬ £¬£¬£¬£¬¿É¼ûµ¥ºËϸ°ûºËÆ«ÒÆ¡¢¹ÌËõ £¬£¬£¬ £¬£¬£¬£¬²¢ÓÐÍÌÊÉÕ÷Ïó£¨Í¼5-3-12£©¡£¡£¡£¡£¡£

¾­MEBT/MEBOÖÎÁÆ5Ìì £¬£¬£¬ £¬£¬£¬£¬¿É¼û´´ÃæÏËάϸ°û £¬£¬£¬ £¬£¬£¬£¬³ÉÏËάϸ°ûÉú³¤½ÏÁ¿»îÔ¾£¨Í¼5-3-13£©¡£¡£¡£¡£¡£

¾­MEBT/MEBOÖÎÁÆ10Ìì £¬£¬£¬ £¬£¬£¬£¬´´Ãæ×éÖ¯ÇÐÆ¬¿É¼û±íƤ¼¬²ã¼¬Ï¸°û·ºÆð²¢ÓÐÇÅÁ£ÅþÁ¬£¨Í¼5-3-14¡«5-3-15£©¡£¡£¡£¡£¡£¿£¿£¿£¿£¿£¿£¿ÅÁ£²ã¿ÅÁ£Ï¸°û·ºÆð¡£¡£¡£¡£¡£ÔÚ»ùÄÚÇé°û²ã¿É¼ûÐþÉ«ËØÐ¡Ì壨ͼ5-3-6¡«5-3-17£©¡£¡£¡£¡£¡£²¢¿É¼ûСѪ¹ÜÖÜΧµÄÍÌÊÉϸ°ûÓÐÍÌÊÉÕ÷Ïó£¨Í¼5-3-18£© £¬£¬£¬ £¬£¬£¬£¬ËµÃ÷Æä¹¦Ð§Ò²ÒѾ­ÔÚ»Ö¸´¡£¡£¡£¡£¡£

¾­MEBT/MEBOÖÎÁÆ20Ìì £¬£¬£¬ £¬£¬£¬£¬µç¾µÊӲ쵽»ùÄÚÇé°û²ãÓëÏËάĸϸ°ûÖ®¼äµÄ°ëÇÅÁ£ÅþÁ¬ £¬£¬£¬ £¬£¬£¬£¬Í¬Ê±¿É¼ûÏËάĸϸ°ûÄÚ´ÖÃæÄÚÖÊÍø½á¹¹ºÍÏßÁ£ÌåÔöÉúÑÄÔ¾£¨Í¼5-3-19¡«5-3-21£©¡£¡£¡£¡£¡£ MEBT/MEBOÖÎÁÆ30Ììºó £¬£¬£¬ £¬£¬£¬£¬ÉÏÆ¤×éÖ¯ÔÙÉúÐÞ¸´ £¬£¬£¬ £¬£¬£¬£¬ÒÑ»ù±¾Íê³É £¬£¬£¬ £¬£¬£¬£¬´´Ãæ×éÖ¯ÇÐÆ¬ÏÔʾ½ºÔ­ÏËά³ÉÊì £¬£¬£¬ £¬£¬£¬£¬ÅÅÁÐÕûÆë£¨Í¼5-3-22£© £¬£¬£¬ £¬£¬£¬£¬Ö±¾¶Îª0.1¡«0.5µm £¬£¬£¬ £¬£¬£¬£¬²¢¿É¼ûÃ÷°µÏà¼äÖÜÆÚÐÔºáÎÆ£¨64nm£© £¬£¬£¬ £¬£¬£¬£¬Î´¼ûµ½½ºÔ­ÏËάŤÇúºÍ³ÊÐýÎС¢²Ë»¨µÈ²¡ÀíÐÎ̬¡£¡£¡£¡£¡£

´´ÃæÓúºÏºóÏÂÖ«¹¦Ð§Ä¥Á¶ £¬£¬£¬ £¬£¬£¬£¬´´Ãæ¼ÌÐøÍâÓÃMEBO×÷Èó·ôÓÍʹÓᣡ£¡£¡£¡£É˺ó45ÌìȬÓú³öÔº¡£¡£¡£¡£¡£

         

5-3-1 Àîij Å® 20Ëê £¬£¬£¬ £¬£¬£¬£¬ÆûÓÍÉÕÉË35%TBSA £¨Éî¢ò¡ãÉîÐÍ15% £¬£¬£¬ £¬£¬£¬£¬Ç³¢ó¡ã20%£©

         

5-3-2 ÉÏÆ¤×é֯ȫ²ã»µËÀ £¬£¬£¬ £¬£¬£¬£¬½ºÔ­ÏËά±äÐÔ £¬£¬£¬ £¬£¬£¬£¬Î¢Ñ­»·ðöÖÍ HE¡Á20

         

5-3-3 É˺ó4Ìì £¬£¬£¬ £¬£¬£¬£¬´´ÃæÔÚMEBO×÷ÓÃϽøÈëÒº»¯ÆÚ £¬£¬£¬ £¬£¬£¬£¬´´ÃæÆ¤·ô×éÖ¯×îÏÈÔÙÉú

         

5-3-4a ÐÂÉúÉÏÆ¤×éÖ¯ºÍ½ºÔ­ÏËάÔöÉú £¬£¬£¬ £¬£¬£¬£¬¿É¼ûµä·¶EB£¨Æ¤·ôÅßÌ¥»ù£© HE¡Á40

         

5-3-4b ÐÂÉúÉÏÆ¤×éÖ¯Öпɼû΢Ѫ¹Ü £¬£¬£¬ £¬£¬£¬£¬½ºÔ­ÏËάºÍÉÏÆ¤Ï¸°û(¸Éϸ°û)ÐÎ³ÉµÄÆ¤·ôÅßÌ¥»ù×éÖ¯  HE¡Á40

         

5-3-5 MEBT/MEBOÖÎÁÆ30Ìì £¬£¬£¬ £¬£¬£¬£¬´´ÃæÆ¤·ôÔÙÉúÐÞ¸´ÓÅÒì

         

5-3-6 ÖÎÁÆ30ÌìºóµÄ´´ÃæÆä±íƤ×éÖ¯ £¬£¬£¬ £¬£¬£¬£¬ÕæÆ¤×éÖ¯½á¹¹ÒѳÊÐÄÀí״̬  HE¡Á20

(×éÖ¯»¯Ñ§ÊÈÒøÈ¾É«)

         

5-3-7 MEBT/MEBOÖÎÁÆ20Ìì £¬£¬£¬ £¬£¬£¬£¬±íƤ»ùµ×²ã £¬£¬£¬ £¬£¬£¬£¬»ùµ×ĤÔÙÉúÑÄÔ¾  HE¡Á20

         

5-3-8 ͬÉÏ £¬£¬£¬ £¬£¬£¬£¬ÕæÆ¤²ãСѪ¹ÜÖÜÎ§Íø×´ÏËά³ÊÐþɫȾɫ  HE¡Á40

(ÃâÒß×éÖ¯»¯Ñ§È¾É«)

         

5-3-9 MEBT/MEBOÖÎÁÆ30Ìì £¬£¬£¬ £¬£¬£¬£¬Ï¸°û½ÇÖÊËØAE3³ÊÑôÐÔ¡£¡£¡£¡£¡££¨ËµÃ÷»¼ÕßÉÕÉË´´ÃæÊÇ×ÔÎÒÔÙÉúÐÞ¸´£© HE¡Á20

         

5-3-10 ͬÉÏ  HE¡Á40

         

5-3-11 AE1Ⱦɫ¡£¡£¡£¡£¡£ÏÙÉÏÆ¤ÂѰ×ÒõÐÔ  HE¡Á20

µç¾µÊÓ²ì

         

5-3-12 ÉÕÉ˵±ÈÕ £¬£¬£¬ £¬£¬£¬£¬µ¥ºËϸ°ûºËÆ«ÒÆ £¬£¬£¬ £¬£¬£¬£¬¹ÌËõ £¬£¬£¬ £¬£¬£¬£¬²¢ÓÐÍÌÊÉÕ÷Ïó  TE¡Á8000

         

5-3-13 MEBT/MEBOÖÎÁÆ5Ìì £¬£¬£¬ £¬£¬£¬£¬³ÉÏËάϸ°ûÉú³¤»îÔ¾  TEM¡Á2000

         

5-3-14 MEBT/MEBOÖÎÁÆ20Ìì £¬£¬£¬ £¬£¬£¬£¬4¸ö¼¬Ï¸°ûµÄÇÅÁ£ÅþÁ¬   TEM¡Á3500

         

5-3-15 ÇÅÁ£½á¹¹ TEM¡Á20000

         

5-3-16 ¿ÅÁ£Ï¸°û  TEM¡Á3500

         

5-3-17 »ùÄÚÇé°û²ã£¨ÐþÉ«ËØÐ¡Ì壩  TEM¡Á6000

         

5-3-18 ÍÌÊÉϸ°û»îÔ¾  TEM¡Á6000

         

5-3-19 MEBT/MEBOÖÎÁÆ20Ìì £¬£¬£¬ £¬£¬£¬£¬Ê¾ÏËάĸϸ°û £¬£¬£¬ £¬£¬£¬£¬¼°Óë»ùµ×Ĥ°ëÇÅÁ£ÅþÁ¬µÄÉÏÆ¤Ï¸°û TEM¡Á3000

         

5-3-20 ´ÖÃæÄÚÖÊÍø½á¹¹ºÍÏßÁ£ÌåÔöÉúÑÄÔ¾  TEM¡Á17000

         

5-3-21 ͬÉÏ  TEM¡Á20000

          

5-3-22 MEBT/MEBOÖÎÁÆ30Ìì £¬£¬£¬ £¬£¬£¬£¬ÕûÆëÅÅÁеĽºÔ­ÏËά £¬£¬£¬ £¬£¬£¬£¬ÏËάÔȳÆÒ»ÖÂÖ± ¾¶ 0.1¡«0.5µm £¬£¬£¬ £¬£¬£¬£¬ÓÐÃ÷°µÏà¼äµÄÖÜÆÚÐÔºáÎÆ£¨64nm)

(ÏôĦ¡¢ÕÔ¿¡Ïé)
¡¾ÍøÕ¾µØÍ¼¡¿¡¾sitemap¡¿